Приветик всем! Наконец то я пишу на форуме от имени состоявшейся пациентки Онипко НН. Сегодня 5-й день после ОП, а до сих пор не могу поверить, что я все-таки сделала это. Вроде все настоящее-и аппараты, и боль...Уж до того я трусиха по жизни, что не передать. В обморок падаю по всякому поводу и без...Но без этого конечно же и здесь не обошлось

Но нашатырь помогает)) Описывать свои сомнения , страхи не буду, тк немало здесь сказано на этот счет, но то, что сайт стал моим лучшим другом последние полгода, скажу)) Только одна мысль сидела в голове, и все мои усилия последнего времени были направлены только на одно-операция у НН. Но, зная себя, поняла сразу-не смогу приехать сразу на оп, сначала я все-таки приехала на консультацию, и меня привели в палату к девченкам после коррекции. После этого решимость моя была почти 100-процентная...Отдельное спасибо Солнышку podarok -ты говорила об ОП настолько буднично и спокойно, что я подумала-ну я, наверное, тогда тоже смогу...
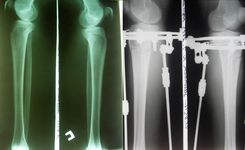
Я приехала 1 марта, сдала анализы, 2 марта ноги мои сломали) На следующий день Малиновка и Жасмин притащили ходунки и Жасмин так спокойно сказала-вставай...У меня аж все похолодело от страха, но встала..Все-таки нашатырь-классная вещь!!)))Постояла несколько секунд-и в койку...Трясло от слабости..Больновато, конечно, было, но терпимо,может уколы еще влияли..На след день сделала пару шагов сама, потом дошла до раковины..Ну, а когда поджало (имею в виду жуткое желание побыть в туалете одной

)-пришлось идти и туда..Это хороший стимул ходить, знаете ли))) Ну и "боевые подруги" с коллективом клиники очень помогают морально, всем спасибо большое.
Девчата! поздравляю с Наступающим праздником, пусть ваши мечты осуществляются очень легко, пусть жизнь приносит только наслаждение. Здоровья крепкого вам и вашим близким)))
