День

В этом разделе каждый желающий может разместить свой рассказ об операции по исправлению "О-образной" кривизны ног. Здесь вы можете вести свой дневник, или разместить рассказ целиком. Приветствуется подробность изложения и размещение фото и видео материала.
Ответить
Аватара пользователя
Sekretar Onipko
Сообщения: 4551
Зарегистрирован: 16 авг 2011, 22:12

День

Сообщение Sekretar Onipko »

Исходник - 49 лет.
Дата операции - 11.02.2021
Вложения
image-08-04-21-12-43-5.jpg
image-08-04-21-12-43-2.jpg
Аватара пользователя
Sekretar Onipko
Сообщения: 4551
Зарегистрирован: 16 авг 2011, 22:12

Re: День

Сообщение Sekretar Onipko »

перед крутками
Вложения
image-19-02-21-11-31-3.jpg
Аватара пользователя
Sekretar Onipko
Сообщения: 4551
Зарегистрирован: 16 авг 2011, 22:12

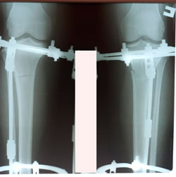
Re: День

Сообщение Sekretar Onipko »

на фиксации
Вложения
image-08-04-21-12-44-3.jpg
image-08-04-21-12-44-1.jpg
image-08-04-21-12-44.jpg
Ответить