Метель

В этом разделе каждый желающий может разместить свой рассказ об операции по исправлению "О-образной" кривизны ног. Здесь вы можете вести свой дневник, или разместить рассказ целиком. Приветствуется подробность изложения и размещение фото и видео материала.
Ответить
Аватара пользователя
Sekretar Onipko
Сообщения: 4551
Зарегистрирован: 16 авг 2011, 22:12

Метель

Сообщение Sekretar Onipko »

Исходник - 52 года.
Дата операции - 29.01.2021
Вложения
image-28-01-21-10-12-6.jpg
Аватара пользователя
Sekretar Onipko
Сообщения: 4551
Зарегистрирован: 16 авг 2011, 22:12

Re: Метель

Сообщение Sekretar Onipko »

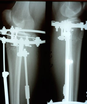
перед крутками
Вложения
image-05-02-21-07-28-1.jpg
Аватара пользователя
Sekretar Onipko
Сообщения: 4551
Зарегистрирован: 16 авг 2011, 22:12

Re: Метель

Сообщение Sekretar Onipko »

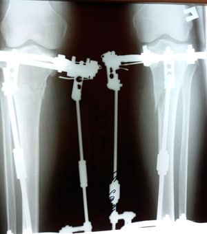
на фиксации
Вложения
image-20-02-21-12-29-2.jpg
image-20-02-21-12-29-5.jpg
image-20-02-21-12-29-4.jpg
Ответить