Бальяндо

В этом разделе каждый желающий может разместить свой рассказ об операции по исправлению "О-образной" кривизны ног. Здесь вы можете вести свой дневник, или разместить рассказ целиком. Приветствуется подробность изложения и размещение фото и видео материала.
Ответить
Аватара пользователя
Sekretar Onipko
Сообщения: 4551
Зарегистрирован: 16 авг 2011, 22:12

Бальяндо

Сообщение Sekretar Onipko »

Дата операции - 28.01.2021
Исходник - 44 года.
Вложения
image-27-01-21-10-23-4.jpg
image-27-01-21-10-23-7.jpg
Аватара пользователя
Sekretar Onipko
Сообщения: 4551
Зарегистрирован: 16 авг 2011, 22:12

Re: Бальяндо

Сообщение Sekretar Onipko »

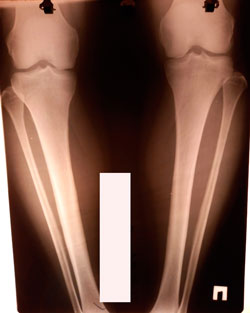
перед крутками
Вложения
image-05-02-21-07-28-3.jpg
Ответить