Кассандра

В этом разделе каждый желающий может разместить свой рассказ об операции по исправлению "О-образной" кривизны ног. Здесь вы можете вести свой дневник, или разместить рассказ целиком. Приветствуется подробность изложения и размещение фото и видео материала.
Ответить
Аватара пользователя
Sekretar Onipko
Сообщения: 4551
Зарегистрирован: 16 авг 2011, 22:12

Кассандра

Сообщение Sekretar Onipko »

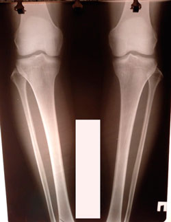
Дата операции - 28.01.2021
Исходник - 42 года.
Вложения
image-27-01-21-10-24.jpg
image-27-01-21-10-24-5.jpg
Аватара пользователя
Sekretar Onipko
Сообщения: 4551
Зарегистрирован: 16 авг 2011, 22:12

Re: Кассандра

Сообщение Sekretar Onipko »

5 ый день после операции
Вложения
image-03-02-21-12-52-1.jpg
image-03-02-21-12-52.jpg
Аватара пользователя
Sekretar Onipko
Сообщения: 4551
Зарегистрирован: 16 авг 2011, 22:12

Re: Кассандра

Сообщение Sekretar Onipko »

на фиксации
Вложения
image-20-02-21-12-38-4.jpg
image-20-02-21-12-38-3.jpg
image-20-02-21-12-38.jpg
Аватара пользователя
Sekretar Onipko
Сообщения: 4551
Зарегистрирован: 16 авг 2011, 22:12

Re: Кассандра

Сообщение Sekretar Onipko »

дата операции - 28.01.2021
дата снятия аппаратов - 17.06.2021
Вложения
image-27-01-21-10-24.jpg
image-27-01-21-10-24-3.jpg
Ответить