Евгения

В этом разделе каждый желающий может разместить свой рассказ об операции по исправлению "О-образной" кривизны ног. Здесь вы можете вести свой дневник, или разместить рассказ целиком. Приветствуется подробность изложения и размещение фото и видео материала.
Ответить
Аватара пользователя
Sekretar Onipko
Сообщения: 4551
Зарегистрирован: 16 авг 2011, 22:12

Евгения

Сообщение Sekretar Onipko »

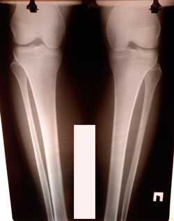
Исходник - 19 лет.
Дата операции - 19.01.2021
Вложения
image-18-01-21-04-01-3.jpg
image-18-01-21-04-01-10.jpg
Аватара пользователя
Sekretar Onipko
Сообщения: 4551
Зарегистрирован: 16 авг 2011, 22:12

Re: Евгения

Сообщение Sekretar Onipko »

перед крутками
Вложения
image-28-01-21-10-24.jpg
Аватара пользователя
Sekretar Onipko
Сообщения: 4551
Зарегистрирован: 16 авг 2011, 22:12

Re: Евгения

Сообщение Sekretar Onipko »

до исправления Ротации с обеих сторон
Вложения
image-31-01-21-12-52-1.jpg
image-31-01-21-12-52.jpg
Аватара пользователя
Sekretar Onipko
Сообщения: 4551
Зарегистрирован: 16 авг 2011, 22:12

Re: Евгения

Сообщение Sekretar Onipko »

на фиксации
Вложения
image-11-02-21-04-04-3.jpg
image-11-02-21-04-04-1.jpg
Ответить