Манифик

В этом разделе каждый желающий может разместить свой рассказ об операции по исправлению "О-образной" кривизны ног. Здесь вы можете вести свой дневник, или разместить рассказ целиком. Приветствуется подробность изложения и размещение фото и видео материала.
Ответить
Аватара пользователя
Sekretar Onipko
Сообщения: 4551
Зарегистрирован: 16 авг 2011, 22:12

Манифик

Сообщение Sekretar Onipko »

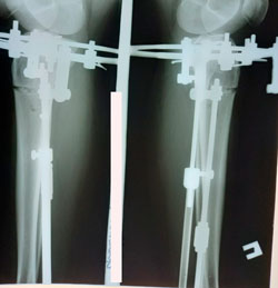
Исходник - 36 лет.
Дата операции - 02.12.2020
Ещё раз: невозможно устранить варусную деформацию при помощи круропластики
Очередной пример!
Вложения
после удаления имплантатов
после удаления имплантатов
ноги с имплантатами
ноги с имплантатами
image-02-12-20-02-42-(1).jpg
Аватара пользователя
Sekretar Onipko
Сообщения: 4551
Зарегистрирован: 16 авг 2011, 22:12

Re: Манифик

Сообщение Sekretar Onipko »

перед фиксацией
Вложения
image-26-12-20-12-23-4.jpg
image-26-12-20-12-23-9.jpg
image-26-12-20-12-23-8.jpg
Ответить