Опал

В этом разделе каждый желающий может разместить свой рассказ об операции по исправлению "О-образной" кривизны ног. Здесь вы можете вести свой дневник, или разместить рассказ целиком. Приветствуется подробность изложения и размещение фото и видео материала.
Ответить
Аватара пользователя
Sekretar Onipko
Сообщения: 4551
Зарегистрирован: 16 авг 2011, 22:12

Опал

Сообщение Sekretar Onipko »

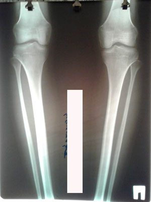
Исходник - 22 года.
Дата операции - 04.08.2020
Вложения
image-04-08-20-09-38-4.jpg
image-04-08-20-09-38.jpg
Аватара пользователя
Sekretar Onipko
Сообщения: 4551
Зарегистрирован: 16 авг 2011, 22:12

Re: Опал

Сообщение Sekretar Onipko »

до исправления Ротации
Вложения
image-22-08-20-05-41.jpg
Аватара пользователя
Sekretar Onipko
Сообщения: 4551
Зарегистрирован: 16 авг 2011, 22:12

Re: Опал

Сообщение Sekretar Onipko »

перед крутками
Вложения
image-11-08-20-11-04-1.jpg
Ответить