Бальяндо

В этом разделе каждый желающий может разместить свой рассказ об операции по исправлению "О-образной" кривизны ног. Здесь вы можете вести свой дневник, или разместить рассказ целиком. Приветствуется подробность изложения и размещение фото и видео материала.
Ответить
Аватара пользователя
Sekretar Onipko
Сообщения: 4551
Зарегистрирован: 16 авг 2011, 22:12

Бальяндо

Сообщение Sekretar Onipko »

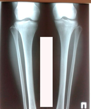
Исходник - 45 лет.
Дата операции - 24.03.2020
Вложения
image-24-03-20-12-01.jpg
image-24-03-20-12-01-1.jpg
image-24-03-20-12-01-7.jpg
Аватара пользователя
Sekretar Onipko
Сообщения: 4551
Зарегистрирован: 16 авг 2011, 22:12

Re: Бальяндо

Сообщение Sekretar Onipko »

перед крутками
Вложения
image-31-03-20-05-27-2.jpg
Ответить