Дина

В этом разделе каждый желающий может разместить свой рассказ об операции по исправлению "О-образной" кривизны ног. Здесь вы можете вести свой дневник, или разместить рассказ целиком. Приветствуется подробность изложения и размещение фото и видео материала.
Ответить
Аватара пользователя
Sekretar Onipko
Сообщения: 4551
Зарегистрирован: 16 авг 2011, 22:12

Дина

Сообщение Sekretar Onipko »

Исходник - 35 лет.
Дата операции - 21.01.2020
Вложения
IMG_8372-20-01-20-04-59.JPG
IMG_8374-20-01-20-04-59.JPG
Аватара пользователя
Sekretar Onipko
Сообщения: 4551
Зарегистрирован: 16 авг 2011, 22:12

Re: Дина

Сообщение Sekretar Onipko »

на фиксации
Вложения
IMG_8372-20-01-20-04-59.JPG
IMG_8370-20-01-20-04-59.JPG
IMG_8842-14-02-20-05-15.JPG
Аватара пользователя
Sekretar Onipko
Сообщения: 4551
Зарегистрирован: 16 авг 2011, 22:12

Re: Дина

Сообщение Sekretar Onipko »

Дата операции - 21.01.2020
Дата снятия аппаратов - 12.05.2020
Срок сращения - 111 дней.

094f316296.gif
Вложения
IMG_8371-20-01-20-04-59.JPG
IMG_8370-20-01-20-04-59.JPG
Аватара пользователя
Sekretar Onipko
Сообщения: 4551
Зарегистрирован: 16 авг 2011, 22:12

Re: Дина

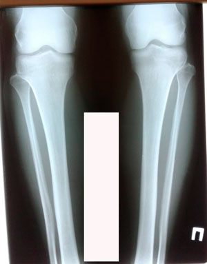
Сообщение Sekretar Onipko »

рентген пере снятием аппаратов.
Вложения
image-13-05-20-12-02-1.jpg
image-13-05-20-12-02.jpg
Ответить