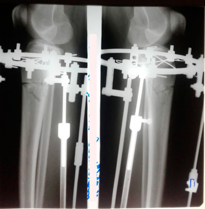
Исходник - 16 лет.
Дата операции - 30.04.2019г.
Мотылёк
- Sekretar Onipko
- Сообщения: 4551
- Зарегистрирован: 16 авг 2011, 22:12
- Sekretar Onipko
- Сообщения: 4551
- Зарегистрирован: 16 авг 2011, 22:12
- Sekretar Onipko
- Сообщения: 4551
- Зарегистрирован: 16 авг 2011, 22:12
- Sekretar Onipko
- Сообщения: 4551
- Зарегистрирован: 16 авг 2011, 22:12
- Sekretar Onipko
- Сообщения: 4551
- Зарегистрирован: 16 авг 2011, 22:12
Re: Мотылёк
Дата операции - 30.04.2019г.
Дата снятия аппаратов - 23.07.2019г.
Срок сращения - 83 дня.
Дата снятия аппаратов - 23.07.2019г.
Срок сращения - 83 дня.