Men

В этом разделе каждый желающий может разместить свой рассказ об операции по исправлению "О-образной" кривизны ног. Здесь вы можете вести свой дневник, или разместить рассказ целиком. Приветствуется подробность изложения и размещение фото и видео материала.
Ответить
Аватара пользователя
Sekretar Onipko
Сообщения: 4551
Зарегистрирован: 16 авг 2011, 22:12

Men

Сообщение Sekretar Onipko »

Исходник - 35 лет.
Дата операции -29.04.2019г.
Вложения
IMG_2893-30-04-19-07-29.JPG
IMG_2887-30-04-19-07-29.JPG
Аватара пользователя
Sekretar Onipko
Сообщения: 4551
Зарегистрирован: 16 авг 2011, 22:12

Re: Men

Сообщение Sekretar Onipko »

перед крутками
Вложения
IMG_3005-06-05-19-05-41.JPG
Аватара пользователя
Sekretar Onipko
Сообщения: 4551
Зарегистрирован: 16 авг 2011, 22:12

Re: Men

Сообщение Sekretar Onipko »

в проессе круток
Вложения
IMG_3084-10-05-19-09-32.JPG
Аватара пользователя
Sekretar Onipko
Сообщения: 4551
Зарегистрирован: 16 авг 2011, 22:12

Re: Men

Сообщение Sekretar Onipko »

На фиксации!
Вложения
IMG_3270-23-05-19-06-43.JPG
Аватара пользователя
Sekretar Onipko
Сообщения: 4551
Зарегистрирован: 16 авг 2011, 22:12

Re: Men

Сообщение Sekretar Onipko »

В аппаратном периоде!
Вложения
IMG_3840-26-06-19-10-08.JPG
Аватара пользователя
Sekretar Onipko
Сообщения: 4551
Зарегистрирован: 16 авг 2011, 22:12

Re: Men

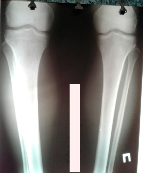
Сообщение Sekretar Onipko »

рентген в 60 дней.
Рентген делаем всегда с коленным суставом!!!
Вложения
IMG_4134-10-07-19-09-21.JPG
IMG_4133-10-07-19-09-21.JPG
IMG_4132-10-07-19-09-21.JPG
Аватара пользователя
Sekretar Onipko
Сообщения: 4551
Зарегистрирован: 16 авг 2011, 22:12

Re: Men

Сообщение Sekretar Onipko »

Дата операции -29.04.2019г.
Дата снятия аппаратов -05.09.2019г.
Срок сращения - 128 дней.

094f316296.gif
Вложения
IMG_2891-30-04-19-07-29.JPG
IMG_2888-30-04-19-07-29.JPG
Аватара пользователя
Sekretar Onipko
Сообщения: 4551
Зарегистрирован: 16 авг 2011, 22:12

Re: Men

Сообщение Sekretar Onipko »

Рентген снимки перед снятием аппаратов.
Вложения
IMG_5617-05-09-19-09-34.JPG
IMG_5616-05-09-19-09-34.JPG
Аватара пользователя
Sekretar Onipko
Сообщения: 4551
Зарегистрирован: 16 авг 2011, 22:12

Re: Men

Сообщение Sekretar Onipko »

phpBB [youtube]
Аватара пользователя
Sekretar Onipko
Сообщения: 4551
Зарегистрирован: 16 авг 2011, 22:12

Re: Men

Сообщение Sekretar Onipko »

1,5 месяца после снятия аппаратов
Вложения
IMG_7083-17-11-19-08-53.JPG
IMG_7079-17-11-19-08-53.JPG
IMG_2893-30-04-19-07-29.JPG
Аватара пользователя
Sekretar Onipko
Сообщения: 4551
Зарегистрирован: 16 авг 2011, 22:12

Re: Men

Сообщение Sekretar Onipko »

1,5 месяца после снятия аппаратов
Вложения
IMG_7085-17-11-19-08-53.JPG
IMG_7084-17-11-19-08-53.JPG
Аватара пользователя
Sekretar Onipko
Сообщения: 4551
Зарегистрирован: 16 авг 2011, 22:12

Re: Men

Сообщение Sekretar Onipko »

phpBB [youtube]
Ответить