Принцесса

В этом разделе каждый желающий может разместить свой рассказ об операции по исправлению "О-образной" кривизны ног. Здесь вы можете вести свой дневник, или разместить рассказ целиком. Приветствуется подробность изложения и размещение фото и видео материала.
Ответить
Аватара пользователя
Sekretar Onipko
Сообщения: 4551
Зарегистрирован: 16 авг 2011, 22:12

Принцесса

Сообщение Sekretar Onipko »

Исходник - 10 лет. Ашхабад.
Дианоз: Варусная деформация обеих оленей. Ротация с обеих сторон 35 градусов. Плоскостопие тяжёлой степени. Начальное явление артроза суставов ниних конечностей.
Дата операции - 16.04.2019г.
Вложения
IMG_2484-16-04-19-07-27.JPG
IMG_2496-16-04-19-07-27.JPG
Аватара пользователя
Sekretar Onipko
Сообщения: 4551
Зарегистрирован: 16 авг 2011, 22:12

Re: Принцесса

Сообщение Sekretar Onipko »

Плоскостопие тяжёлой степени.
Вложения
IMG_2487-16-04-19-07-27.JPG
IMG_2486-16-04-19-07-27.JPG
Аватара пользователя
Sekretar Onipko
Сообщения: 4551
Зарегистрирован: 16 авг 2011, 22:12

Re: Принцесса

Сообщение Sekretar Onipko »

перед крутками
Вложения
IMG_2605-20-04-19-02-51.JPG
Аватара пользователя
Sekretar Onipko
Сообщения: 4551
Зарегистрирован: 16 авг 2011, 22:12

Re: Принцесса

Сообщение Sekretar Onipko »

5 - ый день круток
Вложения
IMG_2848-30-04-19-04-45.JPG
Аватара пользователя
Sekretar Onipko
Сообщения: 4551
Зарегистрирован: 16 авг 2011, 22:12

Re: Принцесса

Сообщение Sekretar Onipko »

Дата операции - 16.04.2019г.
Дата операции - 12.06.2019г.
Срок сращения - 56 дней.

094f316296.gif
Вложения
IMG_2484-16-04-19-07-27.JPG
IMG_2488-16-04-19-07-27.JPG
Аватара пользователя
Sekretar Onipko
Сообщения: 4551
Зарегистрирован: 16 авг 2011, 22:12

Re: Принцесса

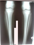
Сообщение Sekretar Onipko »

Рентген перед снятием аппаратов.
Вложения
IMG_3589-12-06-19-11-49.JPG
IMG_3590-12-06-19-11-49.JPG
Ответить