Степан

В этом разделе каждый желающий может разместить свой рассказ об операции по исправлению "О-образной" кривизны ног. Здесь вы можете вести свой дневник, или разместить рассказ целиком. Приветствуется подробность изложения и размещение фото и видео материала.
Ответить
Аватара пользователя
Sekretar Onipko
Сообщения: 4551
Зарегистрирован: 16 авг 2011, 22:12

Степан

Сообщение Sekretar Onipko »

Исходник - 60 лет.
Дата операции - 11.04.2019.
Вложения
IMG_2331-11-04-19-11-12.JPG
IMG_2336-11-04-19-11-12.JPG
Аватара пользователя
Sekretar Onipko
Сообщения: 4551
Зарегистрирован: 16 авг 2011, 22:12

Re: Степан

Сообщение Sekretar Onipko »

перед крутками
Вложения
IMG_2572-18-04-19-06-17.JPG
Аватара пользователя
Sekretar Onipko
Сообщения: 4551
Зарегистрирован: 16 авг 2011, 22:12

Re: Степан

Сообщение Sekretar Onipko »

6- ой день круток
Вложения
IMG_2699-23-04-19-09-14.JPG
Аватара пользователя
Sekretar Onipko
Сообщения: 4551
Зарегистрирован: 16 авг 2011, 22:12

Re: Степан

Сообщение Sekretar Onipko »

В процессе работы
Вложения
IMG_2841-30-04-19-04-45.JPG
Аватара пользователя
Sekretar Onipko
Сообщения: 4551
Зарегистрирован: 16 авг 2011, 22:12

Re: Степан

Сообщение Sekretar Onipko »

Рентген и фото на фиксации
Вложения
IMG_2964-03-05-19-09-46.JPG
IMG_2963-03-05-19-09-46.JPG
Аватара пользователя
Sekretar Onipko
Сообщения: 4551
Зарегистрирован: 16 авг 2011, 22:12

Re: Степан

Сообщение Sekretar Onipko »

Моя любимая рубрика: ноги в сравнении!!!
Вложения
IMG_2331-11-04-19-11-12.JPG
IMG_2333-11-04-19-11-12.JPG
Аватара пользователя
Sekretar Onipko
Сообщения: 4551
Зарегистрирован: 16 авг 2011, 22:12

Re: Степан

Сообщение Sekretar Onipko »

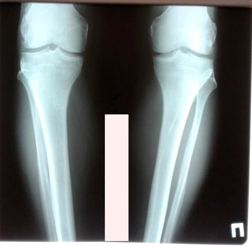
рентген в 90 дней.
Вложения
IMG_4148-10-07-19-09-26.JPG
IMG_4147-10-07-19-09-26.JPG
Аватара пользователя
Sekretar Onipko
Сообщения: 4551
Зарегистрирован: 16 авг 2011, 22:12

Re: Степан

Сообщение Sekretar Onipko »

Дата операции - 11.04.2019.
Дата снятия аппаратов - 23.07.2019г.
Срок сращения - 102 дня.

094f316296.gif
Вложения
IMG_2331-11-04-19-11-12.JPG
IMG_2333-11-04-19-11-12.JPG
Ответить