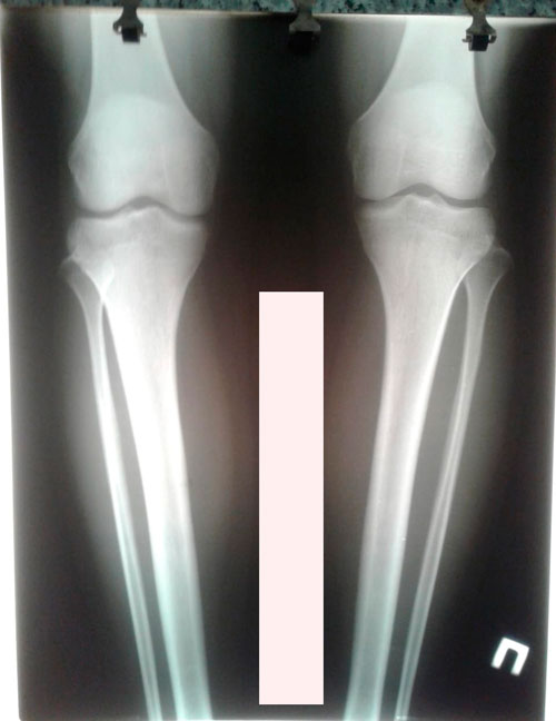
Исходник-17 лет.Астана.
Дата операции-19.12.2018.
Манила♥♥♥
- Sekretar Onipko
- Сообщения: 4551
- Зарегистрирован: 16 авг 2011, 22:12
- Sekretar Onipko
- Сообщения: 4551
- Зарегистрирован: 16 авг 2011, 22:12
- Sekretar Onipko
- Сообщения: 4551
- Зарегистрирован: 16 авг 2011, 22:12
Re: Манила♥♥♥
Дата операции-19.12.2018.
Дата снятия аппаратов - 18.02.2019г.
Срок сращения - 60 дней.

Дата снятия аппаратов - 18.02.2019г.
Срок сращения - 60 дней.
