Исходник - 38 лет.
Дата операции 20.07.2018г.
Аликанте
- Sekretar Onipko
- Сообщения: 4551
- Зарегистрирован: 16 авг 2011, 22:12
- Sekretar Onipko
- Сообщения: 4551
- Зарегистрирован: 16 авг 2011, 22:12
- Sekretar Onipko
- Сообщения: 4551
- Зарегистрирован: 16 авг 2011, 22:12
- Sekretar Onipko
- Сообщения: 4551
- Зарегистрирован: 16 авг 2011, 22:12
Re: Аликанте
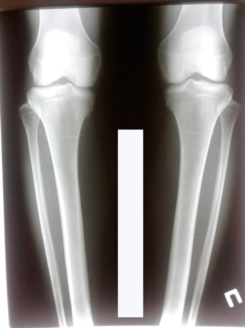
Рентген в 60 дней.
"Сращение идёт отлично! Ждем на снятие аппаратов, через 2 недели."
"Сращение идёт отлично! Ждем на снятие аппаратов, через 2 недели."
- Sekretar Onipko
- Сообщения: 4551
- Зарегистрирован: 16 авг 2011, 22:12
Re: Аликанте
Дата операции 20.07.2018г.
Дата снятия аппаратов 04.10.2018г.
Срок сращения 74 дня.
Дата снятия аппаратов 04.10.2018г.
Срок сращения 74 дня.
