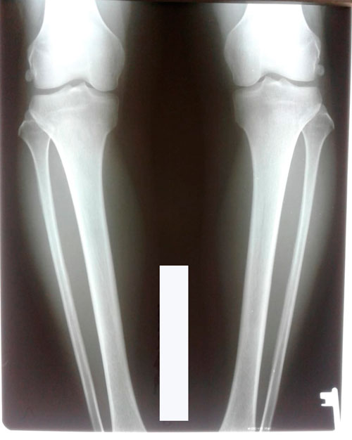
Исходник - 36 лет. Актау.
Дата операции - 19.06.2018г.
Климентина
- Sekretar Onipko
- Сообщения: 4551
- Зарегистрирован: 16 авг 2011, 22:12
- Sekretar Onipko
- Сообщения: 4551
- Зарегистрирован: 16 авг 2011, 22:12
- Sekretar Onipko
- Сообщения: 4551
- Зарегистрирован: 16 авг 2011, 22:12
- Sekretar Onipko
- Сообщения: 4551
- Зарегистрирован: 16 авг 2011, 22:12
- Sekretar Onipko
- Сообщения: 4551
- Зарегистрирован: 16 авг 2011, 22:12
- Sekretar Onipko
- Сообщения: 4551
- Зарегистрирован: 16 авг 2011, 22:12
Re: Климентина
Дата операции - 19.06.2018г.
Дата снятия аппаратов 19.09.2018г.
Срок лечения 90 дней.

Дата снятия аппаратов 19.09.2018г.
Срок лечения 90 дней.
