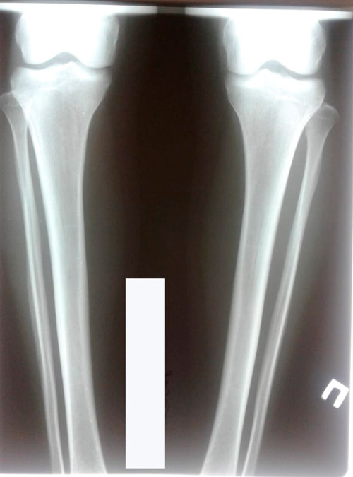
Исходник - 26 лет. Атырау
Дата операции - 16.06.2018г.
Астра
- Sekretar Onipko
- Сообщения: 4551
- Зарегистрирован: 16 авг 2011, 22:12
- Sekretar Onipko
- Сообщения: 4551
- Зарегистрирован: 16 авг 2011, 22:12
- Sekretar Onipko
- Сообщения: 4551
- Зарегистрирован: 16 авг 2011, 22:12
- Sekretar Onipko
- Сообщения: 4551
- Зарегистрирован: 16 авг 2011, 22:12
Re: Астра
Дата операции - 16.06.2018г.
Дата снятия аппаратов 29.08.2018г.
Срок сращения 72 дня.

Дата снятия аппаратов 29.08.2018г.
Срок сращения 72 дня.

- Sekretar Onipko
- Сообщения: 4551
- Зарегистрирован: 16 авг 2011, 22:12
Re: Астра
И не забываем про рекомендации в реабилитационном периоде! http://www.klinika-onipko.kz/forums/vie ... c5b9#p6935