Галантный мужчина!

В этом разделе каждый желающий может разместить свой рассказ об операции по исправлению "О-образной" кривизны ног. Здесь вы можете вести свой дневник, или разместить рассказ целиком. Приветствуется подробность изложения и размещение фото и видео материала.
Ответить
Аватара пользователя
Sekretar Onipko
Сообщения: 4551
Зарегистрирован: 16 авг 2011, 22:12

Галантный мужчина!

Сообщение Sekretar Onipko »

Исходник 38 лет. Алматы.
Дата операции 17.04.2018г.
Вложения
IMG-20180417-WA0035.jpg
IMG-20180418-WA0018.jpg
Аватара пользователя
Sekretar Onipko
Сообщения: 4551
Зарегистрирован: 16 авг 2011, 22:12

Re: Галантный мужчина!

Сообщение Sekretar Onipko »

Перед крутками!
Вложения
IMG-20180424-WA0018.jpg
IMG-20180424-WA0019.jpg
Аватара пользователя
Sekretar Onipko
Сообщения: 4551
Зарегистрирован: 16 авг 2011, 22:12

Re: Галантный мужчина!

Сообщение Sekretar Onipko »

последние штрихи fotograf
Вложения
20180514_092009.jpg
Аватара пользователя
Sekretar Onipko
Сообщения: 4551
Зарегистрирован: 16 авг 2011, 22:12

Re: Галантный мужчина!

Сообщение Sekretar Onipko »

ножки на сращении
Вложения
П-2.jpg
Аватара пользователя
Sekretar Onipko
Сообщения: 4551
Зарегистрирован: 16 авг 2011, 22:12

Re: Галантный мужчина!

Сообщение Sekretar Onipko »

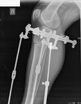
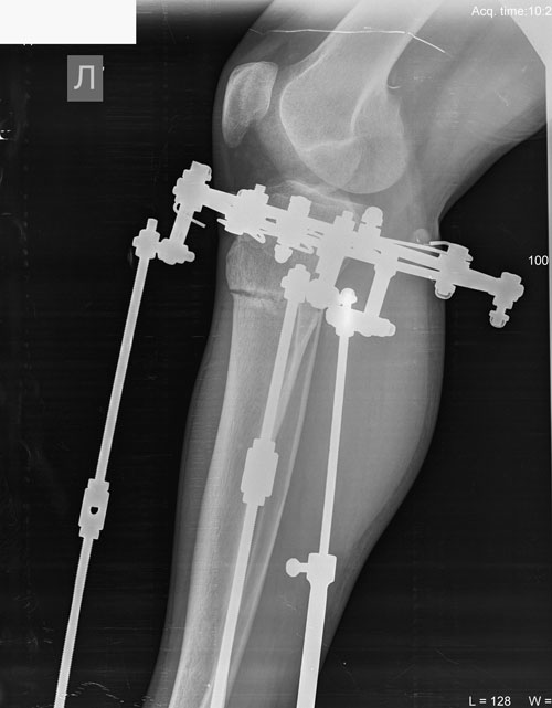
Рентген в 56 дней.
Сращение идёт отлично!
Вложения
Л1.jpg
Л2.jpg
Аватара пользователя
Sekretar Onipko
Сообщения: 4551
Зарегистрирован: 16 авг 2011, 22:12

Re: Галантный мужчина!

Сообщение Sekretar Onipko »

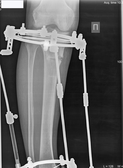
Рентген в 56 дней.
Сращение идёт отлично!
Вложения
П1.jpg
П2.jpg
Аватара пользователя
Sekretar Onipko
Сообщения: 4551
Зарегистрирован: 16 авг 2011, 22:12

Re: Галантный мужчина!

Сообщение Sekretar Onipko »

ножки на сегодня.
Вложения
1.jpg
Аватара пользователя
Sekretar Onipko
Сообщения: 4551
Зарегистрирован: 16 авг 2011, 22:12

Re: Галантный мужчина!

Сообщение Sekretar Onipko »

Дата операции 17.04.2018г.
Дата снятия аппаратов 18.07.2018г.
Срок сращения 90 дней.

16000000
Вложения
IMG-20180417-WA0036.jpg
IMG-20180417-WA0037.jpg
Ответить