Весенний цветок!

В этом разделе каждый желающий может разместить свой рассказ об операции по исправлению "О-образной" кривизны ног. Здесь вы можете вести свой дневник, или разместить рассказ целиком. Приветствуется подробность изложения и размещение фото и видео материала.
Ответить
Аватара пользователя
Sekretar Onipko
Сообщения: 4551
Зарегистрирован: 16 авг 2011, 22:12

Весенний цветок!

Сообщение Sekretar Onipko »

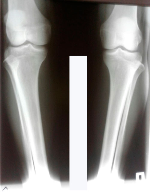
Исходник 28 лет.
Дата операции 17.03.2018г.
Вложения
IMG-20180316-WA0026.jpg
IMG-20180316-WA0029.jpg
Аватара пользователя
Sekretar Onipko
Сообщения: 4551
Зарегистрирован: 16 авг 2011, 22:12

Re: Весенний цветок!

Сообщение Sekretar Onipko »

Перед крутками.
Вложения
IMG-20180323-WA0004.jpg
Аватара пользователя
Sekretar Onipko
Сообщения: 4551
Зарегистрирован: 16 авг 2011, 22:12

Re: Весенний цветок!

Сообщение Sekretar Onipko »

На фиксации.
Вложения
IMG-20180410-WA0050.jpg
IMG-20180410-WA0053.jpg
IMG-20180410-WA0052.jpg
Аватара пользователя
Sekretar Onipko
Сообщения: 4551
Зарегистрирован: 16 авг 2011, 22:12

Re: Весенний цветок!

Сообщение Sekretar Onipko »

Дата операции 17.03.2018г.
Дата снятия аппаратов 26.06.2018г.
Срок лечения 98 дней.

094f316296.gif
Вложения
IMG-20180316-WA0026.jpg
IMG-20180316-WA0028.jpg
IMG-20180316-WA0027.jpg
Ответить