Исходник - 24 года.
2-я ротация.
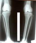
Дата операции 19.07.2017г.
Калифорния
- Sekretar Onipko
- Сообщения: 4551
- Зарегистрирован: 16 авг 2011, 22:12
- Sekretar Onipko
- Сообщения: 4551
- Зарегистрирован: 16 авг 2011, 22:12
- Sekretar Onipko
- Сообщения: 4551
- Зарегистрирован: 16 авг 2011, 22:12
- Sekretar Onipko
- Сообщения: 4551
- Зарегистрирован: 16 авг 2011, 22:12
- Sekretar Onipko
- Сообщения: 4551
- Зарегистрирован: 16 авг 2011, 22:12
Re: Калифорния
Дата операции 19.07.2017г
Дата снятия аппаратов 17.10.2017г.
Срок лечения 88 дней.

Дата снятия аппаратов 17.10.2017г.
Срок лечения 88 дней.

- Sekretar Onipko
- Сообщения: 4551
- Зарегистрирован: 16 авг 2011, 22:12
Re: Калифорния
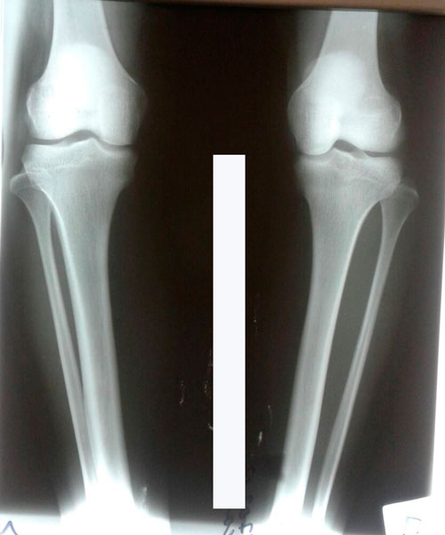
Дата операции 19.07.2017г
Дата снятия аппаратов 17.10.2017г.
Срок лечения 88 дней.
Только доктор Онипко может так красиво устранять Ротацию! Браво ему!!!
Дата снятия аппаратов 17.10.2017г.
Срок лечения 88 дней.
Только доктор Онипко может так красиво устранять Ротацию! Браво ему!!!