Студентка

В этом разделе каждый желающий может разместить свой рассказ об операции по исправлению "О-образной" кривизны ног. Здесь вы можете вести свой дневник, или разместить рассказ целиком. Приветствуется подробность изложения и размещение фото и видео материала.
Ответить
Аватара пользователя
Sekretar Onipko
Сообщения: 4551
Зарегистрирован: 16 авг 2011, 22:12

Студентка

Сообщение Sekretar Onipko »

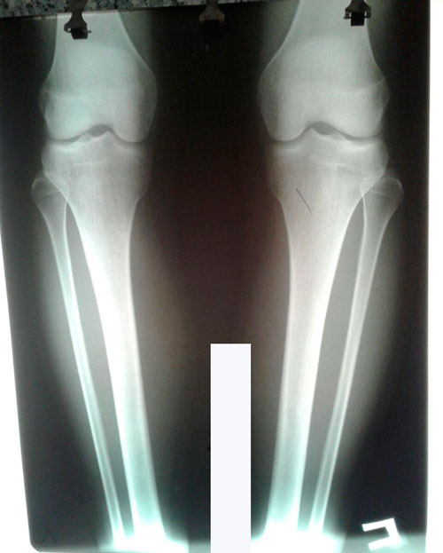
Исходник - 17 лет.
Дата операции 30.05.2017г.
Имеется Ротация.
Вложения
IMG-20170529-WA0012.jpg
IMG-20170529-WA0006.jpg
Аватара пользователя
valdemar
Администратор
Сообщения: 115
Зарегистрирован: 08 авг 2011, 16:09
Хирург: я сам хирург
Диагноз: администратор
Какую операцию Вы планируете сделать.: подлечить форум
Срок лечения.: бесконечен
Оценка результата операции.: судите сами
Откуда: Казахстан г. Павлодар

В процессе курток

Сообщение valdemar »

В процессе курток
patcientka-studentka.jpg
erkien85
Сообщения: 20
Зарегистрирован: 20 фев 2017, 21:48

Re: Студентка

Сообщение erkien85 »

pozdravlyau
Аватара пользователя
Sekretar Onipko
Сообщения: 4551
Зарегистрирован: 16 авг 2011, 22:12

Re: Студентка

Сообщение Sekretar Onipko »

На сращении.
Вложения
IMG-20170712-WA0085.jpg
Аватара пользователя
Sekretar Onipko
Сообщения: 4551
Зарегистрирован: 16 авг 2011, 22:12

Re: Студентка

Сообщение Sekretar Onipko »

68 дней.
Едет на снятие аппаратов! 094f316296.gif
Вложения
IMG-20170804-WA0079.jpg
Аватара пользователя
Sekretar Onipko
Сообщения: 4551
Зарегистрирован: 16 авг 2011, 22:12

Re: Студентка

Сообщение Sekretar Onipko »

Дата операции 30.05.2017г.
Дата снятия аппаратов 10.08.2017г.
Срок лечения 70 дней.

094f316296.gif
Вложения
IMG-20170529-WA0012.jpg
IMG-20170529-WA0010.jpg
Ответить