Kamelia
- Sekretar Onipko
- Сообщения: 4551
- Зарегистрирован: 16 авг 2011, 22:12
Kamelia
Исходник - 23 года.
Дата операции 29.04.2017г.
P.S. Н.Н. уже давно не попадались такие КРЕПКИЕ кости!
Дата операции 29.04.2017г.
P.S. Н.Н. уже давно не попадались такие КРЕПКИЕ кости!
Re: Kamelia
Здраствуйте.С праздником.Скажите пожалуйста,если кости крепкие то есть имеется сложности да?
- Sekretar Onipko
- Сообщения: 4551
- Зарегистрирован: 16 авг 2011, 22:12
Re: Kamelia
Здравствуйте, erkien85! Это значит, что человек ЗДОРОВ и КРЕПОК!
Re: Kamelia
Скажите пожалуйста,как будет лучше сделать ОП по выпряилению "О"-образную кривизну ноги летом или зимой?
- valdemar
- Администратор
- Сообщения: 115
- Зарегистрирован: 08 авг 2011, 16:09
- Хирург: я сам хирург
- Диагноз: администратор
- Какую операцию Вы планируете сделать.: подлечить форум
- Срок лечения.: бесконечен
- Оценка результата операции.: судите сами
- Откуда: Казахстан г. Павлодар
Аппаратный период
Аппаратный период
- valdemar
- Администратор
- Сообщения: 115
- Зарегистрирован: 08 авг 2011, 16:09
- Хирург: я сам хирург
- Диагноз: администратор
- Какую операцию Вы планируете сделать.: подлечить форум
- Срок лечения.: бесконечен
- Оценка результата операции.: судите сами
- Откуда: Казахстан г. Павлодар
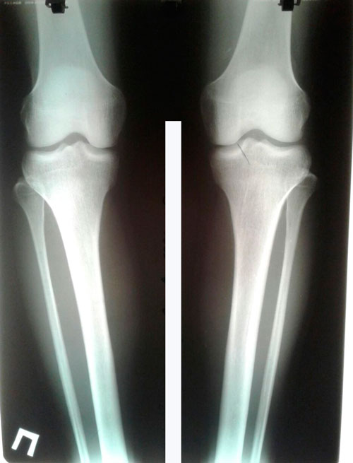
Рентген в 60 дней с момента операции
Сращение отличное! В 85 дней планируем снятие аппаратов!!!
- Sekretar Onipko
- Сообщения: 4551
- Зарегистрирован: 16 авг 2011, 22:12
Re: Kamelia
Дата операции 29.04.2017г.
Дата снятия аппаратов 25.07.2017г.
Срок лечения 85 дней.

Дата снятия аппаратов 25.07.2017г.
Срок лечения 85 дней.

- Sekretar Onipko
- Сообщения: 4551
- Зарегистрирован: 16 авг 2011, 22:12
Re: Kamelia
Дата операции 29.04.2017г.
Дата снятия аппаратов 25.07.2017г.
Срок лечения 85 дней.

Дата снятия аппаратов 25.07.2017г.
Срок лечения 85 дней.
