Саяма
- Sekretar Onipko
- Сообщения: 4551
- Зарегистрирован: 16 авг 2011, 22:12
- Sekretar Onipko
- Сообщения: 4551
- Зарегистрирован: 16 авг 2011, 22:12
- Sekretar Onipko
- Сообщения: 4551
- Зарегистрирован: 16 авг 2011, 22:12
- Sekretar Onipko
- Сообщения: 4551
- Зарегистрирован: 16 авг 2011, 22:12
- Sekretar Onipko
- Сообщения: 4551
- Зарегистрирован: 16 авг 2011, 22:12
- Sekretar Onipko
- Сообщения: 4551
- Зарегистрирован: 16 авг 2011, 22:12
- Sekretar Onipko
- Сообщения: 4551
- Зарегистрирован: 16 авг 2011, 22:12
- Sekretar Onipko
- Сообщения: 4551
- Зарегистрирован: 16 авг 2011, 22:12
Re: Саяма
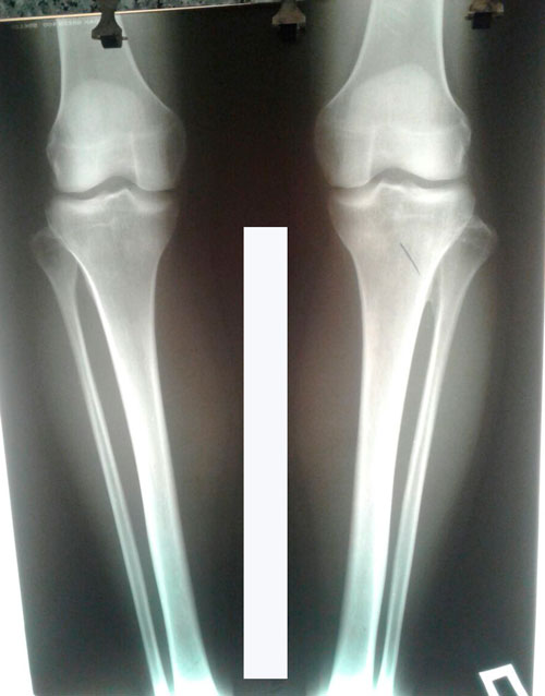
Дата операции 15.03.2017г.
Дата снятия аппаратов 23.06.2017г.
Срок лечения 97 дней.

Дата снятия аппаратов 23.06.2017г.
Срок лечения 97 дней.

- valdemar
- Администратор
- Сообщения: 115
- Зарегистрирован: 08 авг 2011, 16:09
- Хирург: я сам хирург
- Диагноз: администратор
- Какую операцию Вы планируете сделать.: подлечить форум
- Срок лечения.: бесконечен
- Оценка результата операции.: судите сами
- Откуда: Казахстан г. Павлодар
Рентген снимки через 1,5 месяца с момента снятия аппаратов
Рентген снимки через 1,5 месяца с момента снятия аппаратов