Исходник - 26 лет.
Дата операции 27.09.2016г.
♥ Ножки с обложки ♥
- Sekretar Onipko
- Сообщения: 4551
- Зарегистрирован: 16 авг 2011, 22:12
- Sekretar Onipko
- Сообщения: 4551
- Зарегистрирован: 16 авг 2011, 22:12
- Sekretar Onipko
- Сообщения: 4551
- Зарегистрирован: 16 авг 2011, 22:12
- Sekretar Onipko
- Сообщения: 4551
- Зарегистрирован: 16 авг 2011, 22:12
Re: ♥ Ножки с обложки ♥
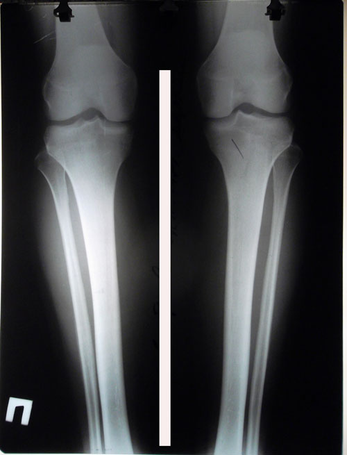
60 дней с момента операции.
Можно снимать аппараты
, но мы подстрахуемся ещё на 2 недели
!
Можно снимать аппараты
- Sekretar Onipko
- Сообщения: 4551
- Зарегистрирован: 16 авг 2011, 22:12
- Sekretar Onipko
- Сообщения: 4551
- Зарегистрирован: 16 авг 2011, 22:12
Re: ♥ Ножки с обложки ♥
Дата операции 27.09.2016г
Дата снятия аппаратов 15.12.2016г.
Срок лечения 73 дня.

Дата снятия аппаратов 15.12.2016г.
Срок лечения 73 дня.