Ножки в босоножки

В этом разделе каждый желающий может разместить свой рассказ об операции по исправлению "О-образной" кривизны ног. Здесь вы можете вести свой дневник, или разместить рассказ целиком. Приветствуется подробность изложения и размещение фото и видео материала.
Ответить
Аватара пользователя
Sekretar Onipko
Сообщения: 4551
Зарегистрирован: 16 авг 2011, 22:12

Ножки в босоножки

Сообщение Sekretar Onipko »

Исходник - 48 лет.
Дата операции 30.06.2016г.
Вложения
image-29-06-16-08-34-5.jpg
Аватара пользователя
Sekretar Onipko
Сообщения: 4551
Зарегистрирован: 16 авг 2011, 22:12

Re: Ножки в босоножки

Сообщение Sekretar Onipko »

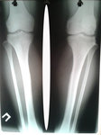
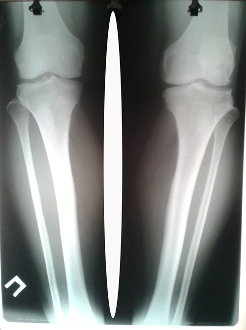
Рентген до операции.
Вложения
20160709_125518.jpg
Аватара пользователя
Sekretar Onipko
Сообщения: 4551
Зарегистрирован: 16 авг 2011, 22:12

Re: Ножки в босоножки

Сообщение Sekretar Onipko »

В процессе круток.
Вложения
20160709_134936.jpg
20160709_135004.jpg
Аватара пользователя
Sekretar Onipko
Сообщения: 4551
Зарегистрирован: 16 авг 2011, 22:12

Re: Ножки в босоножки

Сообщение Sekretar Onipko »

Дата операции 30.06.2016г.
Дата снятия аппаратов 24.11.2016г.
Срок лечения 143 дня.

094f316296.gif
Вложения
image-29-06-16-08-34-6.jpg
image-29-06-16-08-34-8.jpg
Ответить