В Павлодаре!

В этом разделе каждый желающий может разместить свой рассказ об операции по исправлению "О-образной" кривизны ног. Здесь вы можете вести свой дневник, или разместить рассказ целиком. Приветствуется подробность изложения и размещение фото и видео материала.
Ответить
Аватара пользователя
Sekretar Onipko
Сообщения: 4551
Зарегистрирован: 16 авг 2011, 22:12

В Павлодаре!

Сообщение Sekretar Onipko »

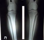
Дата операции 14.04.2016г.
Исходник - 46 лет.
Вложения
рентген до операции
рентген до операции
SAM_0468.JPG
SAM_0469.JPG
Аватара пользователя
Sekretar Onipko
Сообщения: 4551
Зарегистрирован: 16 авг 2011, 22:12

Re: В Павлодаре!

Сообщение Sekretar Onipko »

перед крутками.
Вложения
SAM_0509.JPG
Аватара пользователя
Sekretar Onipko
Сообщения: 4551
Зарегистрирован: 16 авг 2011, 22:12

Re: В Павлодаре!

Сообщение Sekretar Onipko »

Ножки на сращении.
Вложения
IMG_20160605_201133.jpg
IMG_20160605_201023.jpg
Аватара пользователя
Sekretar Onipko
Сообщения: 4551
Зарегистрирован: 16 авг 2011, 22:12

Re: В Павлодаре!

Сообщение Sekretar Onipko »

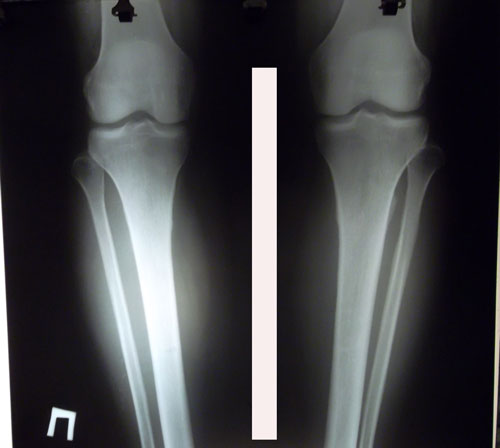
Рентген в 60 дней.
Вложения
IMG_4100.JPG
Аватара пользователя
Sekretar Onipko
Сообщения: 4551
Зарегистрирован: 16 авг 2011, 22:12

Re: В Павлодаре!

Сообщение Sekretar Onipko »

Ножки на сегодня.
Здравствуйте,Г.! По фото и рентгену ножки в порядке, сращение хорошее, но учитывая возраст, будем ходить до 90 дней и смотреть рентген. В целом, у Вас всё идёт отлично!
Вложения
IMG_20160618_145330.jpg
IMG_20160618_145638.jpg
Аватара пользователя
Sekretar Onipko
Сообщения: 4551
Зарегистрирован: 16 авг 2011, 22:12

Re: В Павлодаре!

Сообщение Sekretar Onipko »

Ножки на сегодня.
Здравствуйте, Г.! По фото, ножки в норме - симпатичные, стройные. Продолжаем фиксацию!
Вложения
IMG_20160702_142454.jpg
IMG_20160702_142528.jpg
Аватара пользователя
Sekretar Onipko
Сообщения: 4551
Зарегистрирован: 16 авг 2011, 22:12

Re: В Павлодаре!

Сообщение Sekretar Onipko »

Ножки на сегодня.
Вложения
IMG_20160717_153326.jpg
IMG_20160717_153357.jpg
Аватара пользователя
Sekretar Onipko
Сообщения: 4551
Зарегистрирован: 16 авг 2011, 22:12

Re: В Павлодаре!

Сообщение Sekretar Onipko »

Дата операции 14.04.2016г.
Дата снятия аппаратов 01.08.2016г.
Срок лечения 106 дней.

094f316296.gif
Вложения
SAM_0469.JPG
SAM_0471.JPG
Аватара пользователя
Sekretar Onipko
Сообщения: 4551
Зарегистрирован: 16 авг 2011, 22:12

Re: В Павлодаре!

Сообщение Sekretar Onipko »

Дата операции 14.04.2016г.
Дата снятия аппаратов 01.08.2016г.
Срок лечения 106 дней.

pozdravlyau
Вложения
SAM_0468.JPG
SAM_0470.JPG
Аватара пользователя
Sekretar Onipko
Сообщения: 4551
Зарегистрирован: 16 авг 2011, 22:12

Re: В Павлодаре!

Сообщение Sekretar Onipko »

2 месяца с момента снятия аппаратов.
Вложения
IMG_20161005_210157[1].jpg
20161005_205756[1].jpg
Аватара пользователя
Sekretar Onipko
Сообщения: 4551
Зарегистрирован: 16 авг 2011, 22:12

Re: В Павлодаре!

Сообщение Sekretar Onipko »

2 месяца с момента снятия аппаратов. telka
Вложения
IMG_20161005_210219[1].jpg
IMG_20161005_210322[1].jpg
Ответить