Соломея.
- Sekretar Onipko
- Сообщения: 4551
- Зарегистрирован: 16 авг 2011, 22:12
- Sekretar Onipko
- Сообщения: 4551
- Зарегистрирован: 16 авг 2011, 22:12
- Sekretar Onipko
- Сообщения: 4551
- Зарегистрирован: 16 авг 2011, 22:12
- Sekretar Onipko
- Сообщения: 4551
- Зарегистрирован: 16 авг 2011, 22:12
- Sekretar Onipko
- Сообщения: 4551
- Зарегистрирован: 16 авг 2011, 22:12
- Sekretar Onipko
- Сообщения: 4551
- Зарегистрирован: 16 авг 2011, 22:12
Re: Соломея.
Ждём на снятие аппаратов в 90 дней.
- Sekretar Onipko
- Сообщения: 4551
- Зарегистрирован: 16 авг 2011, 22:12
Re: Соломея.
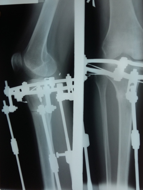
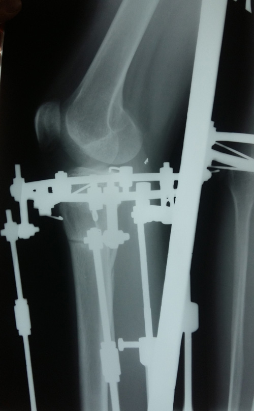
Рентген в 81 день с момента операции.
Здравствуйте, Соломея! По рентгену, у Вас всё отлично! В 90 дней возможно снятие аппаратов. Натаптывайте интенсивно ножки все эти дни, но без фанатизма(ведь когда я Вам говорю больше ходите- это значит, что при физ нагрузке быстрее разрастается костная ткань - вырабатывается, наступает сращение) лучше приехать и остаться у нас в клинике до снятия аппаратов. Один раз можно пожертвовать временем, расстоянием и средствами ради благополучия и отличного результата! Ножки мы исправляем один раз и навсегда!
Здравствуйте, Соломея! По рентгену, у Вас всё отлично! В 90 дней возможно снятие аппаратов. Натаптывайте интенсивно ножки все эти дни, но без фанатизма(ведь когда я Вам говорю больше ходите- это значит, что при физ нагрузке быстрее разрастается костная ткань - вырабатывается, наступает сращение) лучше приехать и остаться у нас в клинике до снятия аппаратов. Один раз можно пожертвовать временем, расстоянием и средствами ради благополучия и отличного результата! Ножки мы исправляем один раз и навсегда!
- Sekretar Onipko
- Сообщения: 4551
- Зарегистрирован: 16 авг 2011, 22:12
- Sekretar Onipko
- Сообщения: 4551
- Зарегистрирован: 16 авг 2011, 22:12
Re: Соломея.
Дата операции 05.04.2016г.
Дата снятия аппаратов 05.07.2016г.
Срок лечения 90 дней.

Дата снятия аппаратов 05.07.2016г.
Срок лечения 90 дней.
