Исходник - 18 лет.
Дата операции 04.04.2016г.
Реальная история.
- Sekretar Onipko
- Сообщения: 4551
- Зарегистрирован: 16 авг 2011, 22:12
- Sekretar Onipko
- Сообщения: 4551
- Зарегистрирован: 16 авг 2011, 22:12
- Sekretar Onipko
- Сообщения: 4551
- Зарегистрирован: 16 авг 2011, 22:12
Re: Реальная история.
Основные крутки закончены.
В понедельник - рентген и возможная до коррекция.
В понедельник - рентген и возможная до коррекция.
- Sekretar Onipko
- Сообщения: 4551
- Зарегистрирован: 16 авг 2011, 22:12
Re: Реальная история.
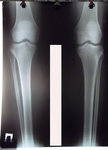
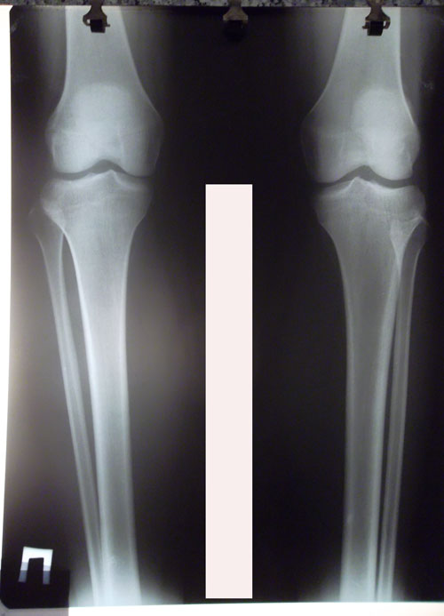
Имеется лёгкая (не критичная ротация), пациентка решила её не трогать.
- Sekretar Onipko
- Сообщения: 4551
- Зарегистрирован: 16 авг 2011, 22:12
Re: Реальная история.
Дата операции 04.04.2016г.
Дата снятия аппаратов 22.06.2016г.
Срок лечения 77 дней.

Дата снятия аппаратов 22.06.2016г.
Срок лечения 77 дней.
- Sekretar Onipko
- Сообщения: 4551
- Зарегистрирован: 16 авг 2011, 22:12
Re: Реальная история.
Дата операции 04.04.2016г.
Дата снятия аппаратов 22.06.2016г.
Срок лечения 77 дней.

Дата снятия аппаратов 22.06.2016г.
Срок лечения 77 дней.