Исходник - 35 лет.
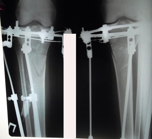
Укорочение правой ноги - 2 см.
Левая голень более деформирована.
Дата операции 22.03.2016г.
Тамирис
- Sekretar Onipko
- Сообщения: 4551
- Зарегистрирован: 16 авг 2011, 22:12
- Sekretar Onipko
- Сообщения: 4551
- Зарегистрирован: 16 авг 2011, 22:12
- Sekretar Onipko
- Сообщения: 4551
- Зарегистрирован: 16 авг 2011, 22:12
- Sekretar Onipko
- Сообщения: 4551
- Зарегистрирован: 16 авг 2011, 22:12
- Sekretar Onipko
- Сообщения: 4551
- Зарегистрирован: 16 авг 2011, 22:12
- Sekretar Onipko
- Сообщения: 4551
- Зарегистрирован: 16 авг 2011, 22:12
- Sekretar Onipko
- Сообщения: 4551
- Зарегистрирован: 16 авг 2011, 22:12
Re: Тамирис
Дата операции 22.03.2016г.
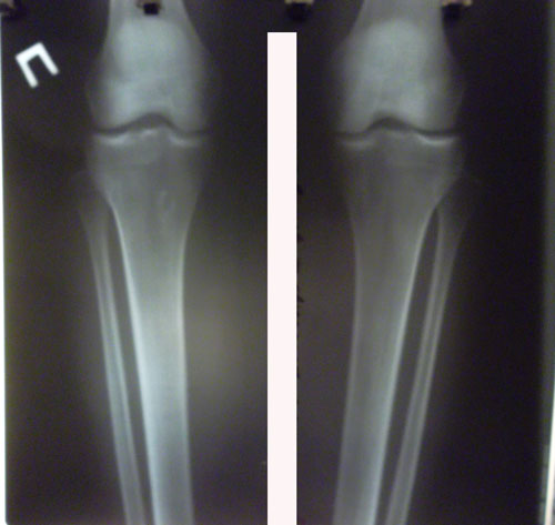
Дата снятия аппаратов 22.06.2016г.
Срок лечения 90 дней.
Диагноз: Укорочение правой ноги - 2 см.
Левая голень более деформирована.
Дата снятия аппаратов 22.06.2016г.
Срок лечения 90 дней.
Диагноз: Укорочение правой ноги - 2 см.
Левая голень более деформирована.