Гандия ♥♥♥

В этом разделе каждый желающий может разместить свой рассказ об операции по исправлению "О-образной" кривизны ног. Здесь вы можете вести свой дневник, или разместить рассказ целиком. Приветствуется подробность изложения и размещение фото и видео материала.
Ответить
Аватара пользователя
Sekretar Onipko
Сообщения: 4551
Зарегистрирован: 16 авг 2011, 22:12

Гандия ♥♥♥

Сообщение Sekretar Onipko »

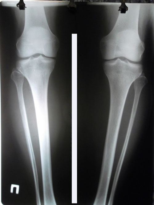
Дата операции 21.08.2015г.
44 года.
Исходник.
Вложения
РЕНТГЕН ДО ОПЕРАЦИИ
РЕНТГЕН ДО ОПЕРАЦИИ
SAM_0007.JPG
SAM_0008.JPG
Аватара пользователя
Sekretar Onipko
Сообщения: 4551
Зарегистрирован: 16 авг 2011, 22:12

Re: Гандия ♥♥♥

Сообщение Sekretar Onipko »

В процессе круток.
Пациентка большая умница, очень позитивная и подвижная. Как не приду, всегда на ногах в движении. Так держать!!!
bf8921ae
Вложения
20150902_201403.jpg
Аватара пользователя
Sekretar Onipko
Сообщения: 4551
Зарегистрирован: 16 авг 2011, 22:12

Re: Гандия ♥♥♥

Сообщение Sekretar Onipko »

рентген в 20 дней после операции.
Вложения
1442649920949_0.jpg
1442649839697_0.jpg
Аватара пользователя
Sekretar Onipko
Сообщения: 4551
Зарегистрирован: 16 авг 2011, 22:12

Re: Гандия ♥♥♥

Сообщение Sekretar Onipko »

38 день после операции.
Здравствуйте Николай Николаевич и Наталья!!! Высылаю фото ног через 2 недели после выписки с клиники. Сегодня 38 день после операций (21.08.15). Самочувствие нормальное. Хожу на костылях, левая нога сильно болит при ходьбе. И меня мучают сомнения, что ноги разные. Посмотрите пожалуйста, может зря волнуюсь.
Жду Ваших ответов.
Здравствуйте, А.! Рады за Ваше прекрасное самочувствие. Ноги абсолютно одинаковые, симпатичные, волнения напрасны.
Вложения
image.jpg
image-(1).jpg
Аватара пользователя
Sekretar Onipko
Сообщения: 4551
Зарегистрирован: 16 авг 2011, 22:12

Re: Гандия ♥♥♥

Сообщение Sekretar Onipko »

Ножки в 52 дня после ОП
Вложения
image.jpg
image-(1).jpg
Аватара пользователя
Sekretar Onipko
Сообщения: 4551
Зарегистрирован: 16 авг 2011, 22:12

Re: Гандия ♥♥♥

Сообщение Sekretar Onipko »

Ножки на сегодня.
Вложения
image.jpg
image-(1).jpg
Аватара пользователя
Sekretar Onipko
Сообщения: 4551
Зарегистрирован: 16 авг 2011, 22:12

Re: Гандия ♥♥♥

Сообщение Sekretar Onipko »

Здравствуйте Николай Николаевич, Наталья! Как у Вас дела? У меня все хорошо, чувствую себя отлично. Хожу свободно. Вот высылаю рентген снимки 90 дней. Но, мне кажется плохо видно? Жду от Вас ответа, надеюсь, ой даже очень, что сращение хорошее! Спасибо заранее!
Здравствуйте, А.! Костная мозоль не плохая, но учитывая слабое состояние костной ткани (слабые кости) во время операции, ещё месяц ходим в аппаратах. Через месяц можете приезжать на снятие аппаратов, рентген сделаете на месте в клинике. С собой привозите костыли.
Вложения
image.jpg
image-(1).jpg
Iskorka
Сообщения: 4
Зарегистрирован: 22 июл 2015, 09:39

Re: Гандия ♥♥♥

Сообщение Iskorka »

Привет, дорогая! Держу за тебя кулачки!!! 19a86fcc9a
Аватара пользователя
Sekretar Onipko
Сообщения: 4551
Зарегистрирован: 16 авг 2011, 22:12

Re: Гандия ♥♥♥

Сообщение Sekretar Onipko »

Дата операции 21.08.2015г.
Дата снятия аппаратов 16.12.2015г.
Срок лечения 114 дней.

094f316296.gif
Вложения
SAM_0007.JPG
SAM_0009.JPG
В АППАРАТАХ ПЕРЕД СНЯТИЕМ
В АППАРАТАХ ПЕРЕД СНЯТИЕМ
Iskorka
Сообщения: 4
Зарегистрирован: 22 июл 2015, 09:39

Re: Гандия ♥♥♥

Сообщение Iskorka »

Подруга, поздравляю!!! Ножки хороооошенькие! Жду в гости весной, как обещала! buketserdec
Ответить