Iskorka ☻
- Sekretar Onipko
- Сообщения: 4551
- Зарегистрирован: 16 авг 2011, 22:12
- Sekretar Onipko
- Сообщения: 4551
- Зарегистрирован: 16 авг 2011, 22:12
- Sekretar Onipko
- Сообщения: 4551
- Зарегистрирован: 16 авг 2011, 22:12
- Sekretar Onipko
- Сообщения: 4551
- Зарегистрирован: 16 авг 2011, 22:12
- Sekretar Onipko
- Сообщения: 4551
- Зарегистрирован: 16 авг 2011, 22:12
- Sekretar Onipko
- Сообщения: 4551
- Зарегистрирован: 16 авг 2011, 22:12
- Sekretar Onipko
- Сообщения: 4551
- Зарегистрирован: 16 авг 2011, 22:12
Re: Iskorka ☻
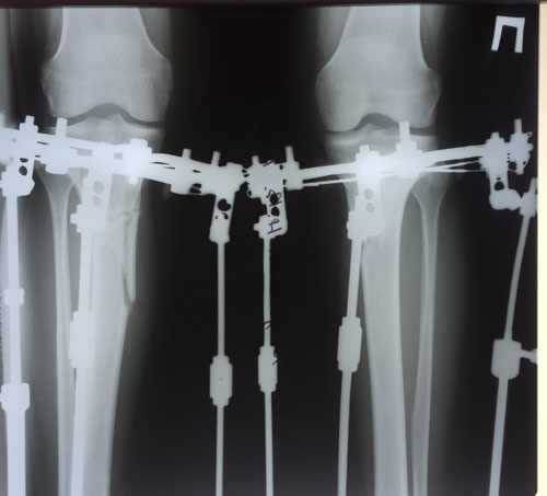
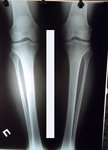
рентген в 60 дней.
Сращение идёт хорошо. Делаем рентген в 90 дней и готовимся к снятию.
Сращение идёт хорошо. Делаем рентген в 90 дней и готовимся к снятию.
- Sekretar Onipko
- Сообщения: 4551
- Зарегистрирован: 16 авг 2011, 22:12
- Sekretar Onipko
- Сообщения: 4551
- Зарегистрирован: 16 авг 2011, 22:12
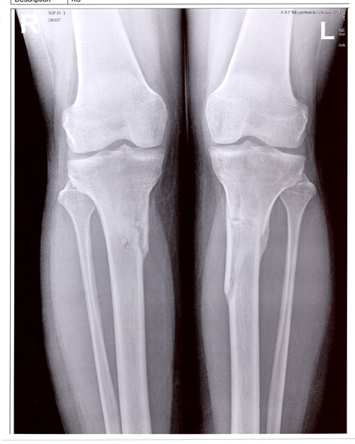
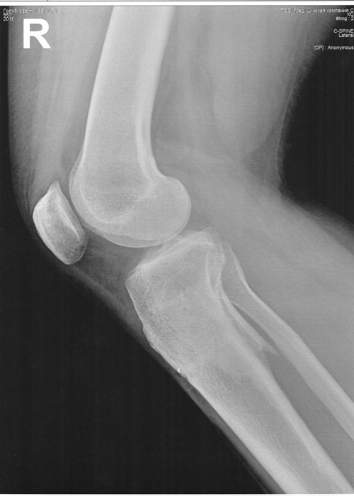
Re: Iskorka ☻
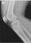
рентген в 90 дней.
Здравствуйте, Iskorka! По рентгену, сращение отличное, ждём на снятие аппаратов.
Здравствуйте, Iskorka! По рентгену, сращение отличное, ждём на снятие аппаратов.
- Sekretar Onipko
- Сообщения: 4551
- Зарегистрирован: 16 авг 2011, 22:12
- Sekretar Onipko
- Сообщения: 4551
- Зарегистрирован: 16 авг 2011, 22:12
Re: Iskorka ☻
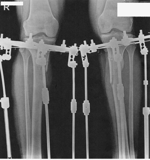
ножки в аппаратах, в день снятия.
- Sekretar Onipko
- Сообщения: 4551
- Зарегистрирован: 16 авг 2011, 22:12
- Sekretar Onipko
- Сообщения: 4551
- Зарегистрирован: 16 авг 2011, 22:12
- Sekretar Onipko
- Сообщения: 4551
- Зарегистрирован: 16 авг 2011, 22:12
Re: Iskorka ☻
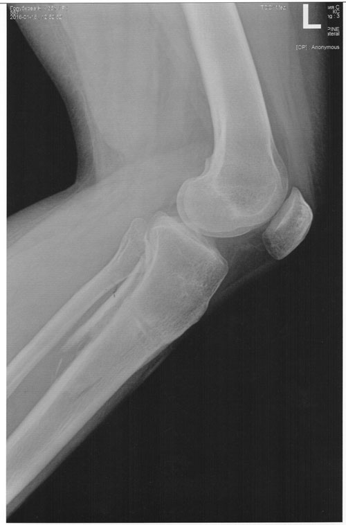
Здравствуйте уважаемый Николай Николаевич и Наталья!
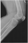
Отправляю вам контрольные рентген-снимки и фото ножек. Со дня снятия прошло 50 дней.
У меня всё хорошо. Прошла курс массажа в декабре. Правда иногда немного болит колено с внутренней стороны на левой ноге.
Шрамы мажу контрактубексом.
Жду ваши комментарии.
Здравствуйте, Наталья! По рентгену, всё отлично! разрешено всё без ограничений! Исключить: беременность в течении первых 6 месяцев.
Спасибо за фото ножек! не забывайте про наш форум, пишите отзывы, выставляйте фото красивых ножек! Это для нас важно, мы гордимся своей работой!
Всего Вам доброго!
