Девичьи мечты ♥
- Sekretar Onipko
- Сообщения: 4551
- Зарегистрирован: 16 авг 2011, 22:12
Девичьи мечты ♥
Диагноз: ахондроплазия, варусная деформация обеих голеней 155 градусов.
26 лет.
Дата операции 08.07.2015г.
Исходник.
26 лет.
Дата операции 08.07.2015г.
Исходник.
- Sekretar Onipko
- Сообщения: 4551
- Зарегистрирован: 16 авг 2011, 22:12
- Sekretar Onipko
- Сообщения: 4551
- Зарегистрирован: 16 авг 2011, 22:12
- Sekretar Onipko
- Сообщения: 4551
- Зарегистрирован: 16 авг 2011, 22:12
- Sekretar Onipko
- Сообщения: 4551
- Зарегистрирован: 16 авг 2011, 22:12
Re: Девичьи мечты ♥
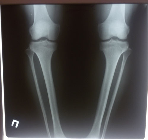
рентген в 90 дней.
Здравствуйте, Б.! Сращение идёт хорошо, но Вам ходить ещё месяц. в 120 дней ждём рентген.
Здравствуйте, Б.! Сращение идёт хорошо, но Вам ходить ещё месяц. в 120 дней ждём рентген.
- Sekretar Onipko
- Сообщения: 4551
- Зарегистрирован: 16 авг 2011, 22:12
- Sekretar Onipko
- Сообщения: 4551
- Зарегистрирован: 16 авг 2011, 22:12
- Sekretar Onipko
- Сообщения: 4551
- Зарегистрирован: 16 авг 2011, 22:12
- Sekretar Onipko
- Сообщения: 4551
- Зарегистрирован: 16 авг 2011, 22:12
Re: Девичьи мечты ♥
- Sekretar Onipko
- Сообщения: 4551
- Зарегистрирован: 16 авг 2011, 22:12
- Sekretar Onipko
- Сообщения: 4551
- Зарегистрирован: 16 авг 2011, 22:12
Re: Девичьи мечты ♥
Ножки супер! разрешено всё без ограничений, все нагрузки: спорт, фитнес, каблуки любых размеров - Вам очень они пойдут! Нельзя: беременеть в течении первых 6 месяцев с момента снятия аппаратов!
Не забывайте про наш форум, высылайте фото ножек, пишите отзывы, нам это важно, это наша работа - искусство, которым мы гордимся!
Вам, счастья, любви и всех благ!
Не забывайте про наш форум, высылайте фото ножек, пишите отзывы, нам это важно, это наша работа - искусство, которым мы гордимся!
Вам, счастья, любви и всех благ!
Я вам и вашему коллективу очень благодарна ) дай бог вам и вашим близким здоровья. Я очень счастлива )))
- Sekretar Onipko
- Сообщения: 4551
- Зарегистрирован: 16 авг 2011, 22:12
Re: Девичьи мечты ♥
Здравствуйте уважаемые! Как ваши дела ? Наталья с праздником вас хочу еще раз поблагодарить Н Николаевича , не могу нарадоваться))) это огромное счастье ходить с идеальными ровными ногами. Вот у меня такой вопрос , могу ли я усиливать нагрузки в спорт зале ? Можно ли мне заниматься с утижелителями ног, и висеть в тренажере верх ногами ? Боюсь чет (((
Здравствуйте, Б.! Вам разрешены нагрузки, делайте всё по нарастающей.
Re: Девичьи мечты ♥
здравствуйте,не могли бы поделиться,в момент операции вы работали?я хочу на операцию,но не хотелось бы говорить правду,мне стыдно,что вы сказали работадателю?

