Исправляю ножки!

В этом разделе каждый желающий может разместить свой рассказ об операции по исправлению "О-образной" кривизны ног. Здесь вы можете вести свой дневник, или разместить рассказ целиком. Приветствуется подробность изложения и размещение фото и видео материала.
Аватара пользователя
Sekretar Onipko
Сообщения: 4551
Зарегистрирован: 16 авг 2011, 22:12

Исправляю ножки!

Сообщение Sekretar Onipko »

Дата операции 10.11.2014г.
Исходник.
Вложения
SAM_9315.JPG
Аватара пользователя
Sekretar Onipko
Сообщения: 4551
Зарегистрирован: 16 авг 2011, 22:12

Re: Исправляю ножки!

Сообщение Sekretar Onipko »

В процессе исправления.
Вложения
20141128_110512.jpg
Аватара пользователя
Sekretar Onipko
Сообщения: 4551
Зарегистрирован: 16 авг 2011, 22:12

Re: Исправляю ножки!

Сообщение Sekretar Onipko »

В процессе исправления деформации.
Вложения
SAM_9379.JPG
Аватара пользователя
Sekretar Onipko
Сообщения: 4551
Зарегистрирован: 16 авг 2011, 22:12

Re: Исправляю ножки!

Сообщение Sekretar Onipko »

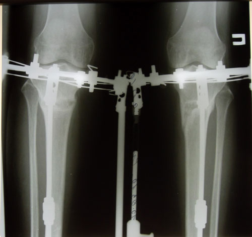
30 дней с момента операции.
С., хватит лениться! Вставайте и расхаживайте ножки! elka36
Вложения
РЕНТГЕН НА 30 - ЫЙ ДЕНЬ С МОМЕНТА ОПЕРАЦИИ.
РЕНТГЕН НА 30 - ЫЙ ДЕНЬ С МОМЕНТА ОПЕРАЦИИ.
РЕНТГЕН ДО ОПЕРАЦИИ
РЕНТГЕН ДО ОПЕРАЦИИ
20141210_094022.jpg
Аватара пользователя
Sekretar Onipko
Сообщения: 4551
Зарегистрирован: 16 авг 2011, 22:12

Re: Исправляю ножки!

Сообщение Sekretar Onipko »

Остались последние штрихи и ножки - конфетки! elka11
Вложения
SAM_9445.JPG
SAM_9448.JPG
Аватара пользователя
Sekretar Onipko
Сообщения: 4551
Зарегистрирован: 16 авг 2011, 22:12

Re: Исправляю ножки!

Сообщение Sekretar Onipko »

На фиксации.
Вложения
SAM_9452.JPG
SAM_9477.JPG
SAM_9478.JPG
Аватара пользователя
Sekretar Onipko
Сообщения: 4551
Зарегистрирован: 16 авг 2011, 22:12

Re: Исправляю ножки!

Сообщение Sekretar Onipko »

Ножки на сегодня.
отек на однои коленке не сподает.вы думаете это норально?
Здравствуйте, Светлана! Да, это нормально в Вашем случае (значит Вы склонны к отёкам, так переносите). Некоторые пациенты ходят с отёками до самого снятия аппаратов(бывает и такое исключение). Рекомендации в помощь от отёков, я Вам выслала. Придерживайтесь их и помогайте своим ножкам!
Вложения
5.jpg
2.jpg
1.jpg
Аватара пользователя
valdemar
Администратор
Сообщения: 115
Зарегистрирован: 08 авг 2011, 16:09
Хирург: я сам хирург
Диагноз: администратор
Какую операцию Вы планируете сделать.: подлечить форум
Срок лечения.: бесконечен
Оценка результата операции.: судите сами
Откуда: Казахстан г. Павлодар

Ножки на сегодня.

Сообщение valdemar »

Ножки на сегодня.
1.jpg
Ножки на сегодня.
2.jpg
Аватара пользователя
Sekretar Onipko
Сообщения: 4551
Зарегистрирован: 16 авг 2011, 22:12

Re: Исправляю ножки!

Сообщение Sekretar Onipko »

Здравствуйте, Светлана! Ножки смотрятся симпатично, мышцы подкачаете и всё будет супер (наберитесь терпения).
Вложения
Фото0237.jpg
Фото0235.jpg
Аватара пользователя
Sekretar Onipko
Сообщения: 4551
Зарегистрирован: 16 авг 2011, 22:12

Re: Исправляю ножки!

Сообщение Sekretar Onipko »

У пациентки отсутствует изначально внутренний контур голени. Создать его можно 2 способами (после снятия аппаратов, через некоторый промежуток времени)
1) физ. нагрузками, спорт
2) Круропластика - пластическая операция, позволяющая изменить объем голеней с целью улучшить форму ног. Протезирование - это идеальный способ увеличить икры ног, если у Вас:
- чрезмерно худые ноги
- атрофия мышц голени, неравномерно развитые или слаборазвитые икроножные мышцы
Многим людям генетически достались кривые ноги и худые голени, мышцы которых не растут даже после физических нагрузок. Женщины, прибегающие к пластике чаще в эстетических целях, обычно увеличивают голени, чтобы визуально улучшить пропорциональное отношение бедер и голеней: чтобы ножки выглядели стройными и спортивными. Все эти манипуляции делаются после исправления деформации голеней, а после этого, Вы можете заняться улучшением внутреннего контура (если это как то Вас беспокоит).
Вложения
20150304132007.jpg
20150304132030.jpg
Аватара пользователя
Sekretar Onipko
Сообщения: 4551
Зарегистрирован: 16 авг 2011, 22:12

Re: Исправляю ножки!

Сообщение Sekretar Onipko »

Рентген в 121 день. Снимать аппараты рановато, ждём ещё месяц. Делаем повторный рентген и смотрим. Можно снимать не 10 апреля, а на несколько дней раньше. кушайте творог, мясо, кальций, холодец, мумиё (как учили в клинике) и позитивное настроение! 04000000.
Вложения
20150318_152328.jpg
Аватара пользователя
Sekretar Onipko
Сообщения: 4551
Зарегистрирован: 16 авг 2011, 22:12

Re: Исправляю ножки!

Сообщение Sekretar Onipko »

Ножки на сегодня.
Вложения
20150410201942.jpg
20150410201931.jpg
Аватара пользователя
valdemar
Администратор
Сообщения: 115
Зарегистрирован: 08 авг 2011, 16:09
Хирург: я сам хирург
Диагноз: администратор
Какую операцию Вы планируете сделать.: подлечить форум
Срок лечения.: бесконечен
Оценка результата операции.: судите сами
Откуда: Казахстан г. Павлодар

Re: Исправляю ножки!

Сообщение valdemar »

привет
Аватара пользователя
Sekretar Onipko
Сообщения: 4551
Зарегистрирован: 16 авг 2011, 22:12

Re: Исправляю ножки!

Сообщение Sekretar Onipko »

Рентген перед снятием аппаратов.
Вложения
в аппаратах пред снятием.
в аппаратах пред снятием.
SAM_9841.JPG
SAM_9842.JPG
Ответить