Осенний марафон.
- Sekretar Onipko
- Сообщения: 4551
- Зарегистрирован: 16 авг 2011, 22:12
Re: Осенний марафон.
Это мои ножки. Сегодня 5 день. До сих пор не верю, что это происходит со мной. Как будто это сон. У меня двое маленьких детей, быт, куча дел, все не решалась, все думала как я их оставлю, как они без меня. Но все таки решилась! Ура! Я рада, что приближаюсь к своей мечте! Терпения, конечно, надо немалого, но мысль о ровных красивых ножках дает столько сил. Нас в данный момент двое, я и loginza499, у нее сегодня 18 день, исходники наши почти похожи, только ножки у нее худее. У нее уже заканчиваются Крутки и я вижу ее результат, ножки реально стали ровными. Я рада за нее и ее результат мне придает столько сил и уверенности. А в общем что касается больницы, персонала, то мне все нравится. Все вежливые, спокойные. Тут бессменная, незаменимая Маришка, молодец! Во всем поможет, позаботится. Кто лежал, знают.
- Sekretar Onipko
- Сообщения: 4551
- Зарегистрирован: 16 авг 2011, 22:12
- Sekretar Onipko
- Сообщения: 4551
- Зарегистрирован: 16 авг 2011, 22:12
- Sekretar Onipko
- Сообщения: 4551
- Зарегистрирован: 16 авг 2011, 22:12
- Sekretar Onipko
- Сообщения: 4551
- Зарегистрирован: 16 авг 2011, 22:12
- Sekretar Onipko
- Сообщения: 4551
- Зарегистрирован: 16 авг 2011, 22:12
Re: Осенний марафон.
Ножки на сегодня.
Здравствуйте! По фото левая нога чуть тоньше правой. Присматриваемся, наблюдаем, не щадим, наступаем на обе ноги одинаково. Если будут сомнения, приезжайте!Добрый вечер.
Отправляю чуть раньше чем через две недели фото ног, так как появились сомнения насчет левой ноги. Как будто она изменилась, более Х-образной стала что ли. Посмотрите пж. Что скажите?
- Sekretar Onipko
- Сообщения: 4551
- Зарегистрирован: 16 авг 2011, 22:12
- Sekretar Onipko
- Сообщения: 4551
- Зарегистрирован: 16 авг 2011, 22:12
Re: Осенний марафон.
Добрый день.
Отправляю фото ног. Посмотрите пж
Нагрузка на стопу стала равномерной, болей нет, теперь по сравнению с левой стопой ощущаю что правая стопа теперь болит, на внутреннею часть есть немного больше нагрузки. Незнаю с чем это связано, нога то вроде ровная.
Потом в правой ноге после исправления как приехала домой при ходьбе когда разгибаю колено появляется в колене какая то боль, как будто внутри что то разболталось, как будто спица внутри щелкает. Что делать? Так и ходить дальше?
Здравствуйте, П.! Все неприятные ощущения и боль - это временно, всё пройдёт. Ножки у Вас на славу - красивые! Продолжаем фиксацию! Re: Осенний марафон.
Привет! Как дела? Как твои ноженьки? Когда уже на снятие?
- Sekretar Onipko
- Сообщения: 4551
- Зарегистрирован: 16 авг 2011, 22:12
Re: Осенний марафон.
Дата операции 16.10.2014г.
Дата снятия аппаратов 30.01.2015г.
Срок лечения 102 дня.

Дата снятия аппаратов 30.01.2015г.
Срок лечения 102 дня.

- Sekretar Onipko
- Сообщения: 4551
- Зарегистрирован: 16 авг 2011, 22:12
Re: Осенний марафон.
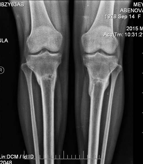
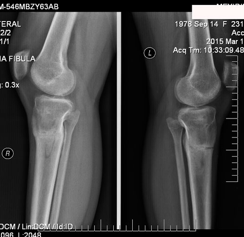
Добрый день, Наталья.
Как ваши дела? У меня все отлично. Потихочнеку воостанавливаюсь. Одеваю юбки, платья и до сих пор не могу поверить что, это я и мои ножки!
Какое же это непередаваемое чувство, когда ты ходишь по магазинам и не проходишь как раньше мимо стеллажей с короткими юбками и платьями!
Вот прошло 1,5 месяца и как требуется сделала рентген, высылаю его. Передавайте Николаю Николаевичу большой привет и слова благодарности от меня!
- Sekretar Onipko
- Сообщения: 4551
- Зарегистрирован: 16 авг 2011, 22:12