Ни шагу назад ♥♥♥
- Sekretar Onipko
- Сообщения: 4551
- Зарегистрирован: 16 авг 2011, 22:12
- Lora
- Сообщения: 8
- Зарегистрирован: 29 янв 2014, 19:07
- Хирург: Н.Н. Онипко
- Диагноз: кривые ноги
- Какую операцию Вы планируете сделать.: исправить ножки, сделать ровными
- Дата операции.: 28.01.2014
- Откуда: Тараз
Re: Ни шагу назад ♥♥♥
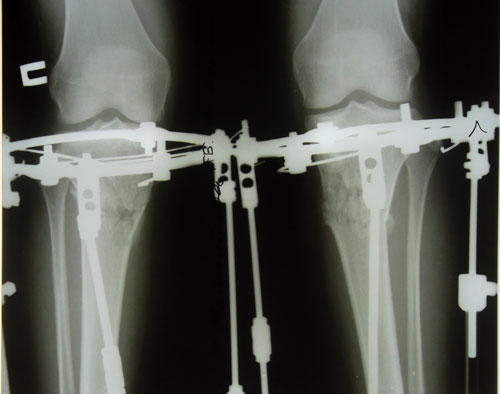
Ноги постепенно выравниваются.настроение отличное!
- Lora
- Сообщения: 8
- Зарегистрирован: 29 янв 2014, 19:07
- Хирург: Н.Н. Онипко
- Диагноз: кривые ноги
- Какую операцию Вы планируете сделать.: исправить ножки, сделать ровными
- Дата операции.: 28.01.2014
- Откуда: Тараз
Re: Ни шагу назад ♥♥♥
Настрой вперед!! без отдыха от круток.
- Kameliya
- Сообщения: 18
- Зарегистрирован: 29 янв 2014, 18:43
- Хирург: Н.Н. Онипко
- Диагноз: О-образная деформация нижних конечностей
- Какую операцию Вы планируете сделать.: исправить кривые ноги
- Дата операции.: 28.01.2014
- Откуда: Cемей
Re: Ни шагу назад ♥♥♥
Привет, Лора!
Я очень рада за Тебя! Так держать! Нас ждет новая жизнь с новыми ножками! 
Я очень рада за Тебя! Так держать! Нас ждет новая жизнь с новыми ножками! 
- Sekretar Onipko
- Сообщения: 4551
- Зарегистрирован: 16 авг 2011, 22:12
- Sekretar Onipko
- Сообщения: 4551
- Зарегистрирован: 16 авг 2011, 22:12
- Sekretar Onipko
- Сообщения: 4551
- Зарегистрирован: 16 авг 2011, 22:12
-
loginza486
- Сообщения: 7
- Зарегистрирован: 26 фев 2014, 12:46
- Контактная информация:
Лоре
Лора,привет!можешь общаться со мной через ватсап,просто я тоже планирую сделать ОП,поделись,посоветуй на счет операции мой номер7011435269-Жансая.
Буду ждать ответа!заранее спасибо.
Буду ждать ответа!заранее спасибо.- Lora
- Сообщения: 8
- Зарегистрирован: 29 янв 2014, 19:07
- Хирург: Н.Н. Онипко
- Диагноз: кривые ноги
- Какую операцию Вы планируете сделать.: исправить ножки, сделать ровными
- Дата операции.: 28.01.2014
- Откуда: Тараз
Re: Ни шагу назад ♥♥♥
Привет!! Жансая хочу сказать тебе молодец!! Если уже планируешь выровнить ноги и жить с новыми ровными ножками. Ничего страшного нет в этой операции вперед.


- Sekretar Onipko
- Сообщения: 4551
- Зарегистрирован: 16 авг 2011, 22:12
- Sekretar Onipko
- Сообщения: 4551
- Зарегистрирован: 16 авг 2011, 22:12
- Sekretar Onipko
- Сообщения: 4551
- Зарегистрирован: 16 авг 2011, 22:12
- Lora
- Сообщения: 8
- Зарегистрирован: 29 янв 2014, 19:07
- Хирург: Н.Н. Онипко
- Диагноз: кривые ноги
- Какую операцию Вы планируете сделать.: исправить ножки, сделать ровными
- Дата операции.: 28.01.2014
- Откуда: Тараз
Re: Ни шагу назад ♥♥♥
Наташа здраствуйте! вы результат рентгена не сообщили? С нетерпением жду. Заранее спасибо!

