Наконец - то я решилась!

В этом разделе каждый желающий может разместить свой рассказ об операции по исправлению "О-образной" кривизны ног. Здесь вы можете вести свой дневник, или разместить рассказ целиком. Приветствуется подробность изложения и размещение фото и видео материала.
Аватара пользователя
Miraslava
Сообщения: 8
Зарегистрирован: 25 сен 2013, 22:24
Хирург: Н.Н. Онипко
Диагноз: О-образная деформация ног
Какую операцию Вы планируете сделать.: исправить ножки
Дата операции.: 25.09.2013
Откуда: Павлодар

Наконец - то я решилась!

Сообщение Miraslava »

Дата операции 25.09.2013г.
Исходник.
Вложения
SAM_6749.JPG
SAM_6750.JPG
Аватара пользователя
Sekretar Onipko
Сообщения: 4551
Зарегистрирован: 16 авг 2011, 22:12

Re: Наконец - то я решилась!

Сообщение Sekretar Onipko »

15- ый день после операции.
Вложения
SAM_6861.JPG
Аватара пользователя
Sekretar Onipko
Сообщения: 4551
Зарегистрирован: 16 авг 2011, 22:12

Re: Наконец - то я решилась!

Сообщение Sekretar Onipko »

Ножки на сегодня!
Вложения
SAM_7002.JPG
Аватара пользователя
Sekretar Onipko
Сообщения: 4551
Зарегистрирован: 16 авг 2011, 22:12

Re: Наконец - то я решилась!

Сообщение Sekretar Onipko »

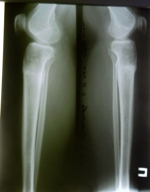
рентген в 76 дней.
Сращение отличное, предполагаемая дата снятия аппаратов - 06 января 2014г.
novyj_god_52
Вложения
SAM_7314.JPG
SAM_7312.JPG
Аватара пользователя
Sekretar Onipko
Сообщения: 4551
Зарегистрирован: 16 авг 2011, 22:12

Re: Наконец - то я решилась!

Сообщение Sekretar Onipko »

Дата операции 25.09.2013г.
Дата снятия аппаратов 07.01.2014г.
Срок лечения 101 день.

novyj_god_7
Вложения
SAM_6749.JPG
SAM_6751.JPG
Аватара пользователя
Sekretar Onipko
Сообщения: 4551
Зарегистрирован: 16 авг 2011, 22:12

Re: Наконец - то я решилась!

Сообщение Sekretar Onipko »

Дата операции 25.09.2013г.
Дата снятия аппаратов 07.01.2014г.
Срок лечения 101 день.

novyj_god_7
Вложения
SAM_7397.JPG
Аватара пользователя
Simona
Сообщения: 64
Зарегистрирован: 02 июл 2013, 21:16
Хирург: Н.Н. Онипко
Диагноз: О-образная деформация ног
Какую операцию Вы планируете сделать.: исправить ножки
Дата операции.: 02.07.2013
Откуда: Алматы

Re: Наконец - то я решилась!

Сообщение Simona »

Вот еще на одну ровноножку стало больше. Поздравляю. Будь счастлива. animashka95 2ae0794.gif
Alima
Сообщения: 128
Зарегистрирован: 05 сен 2013, 11:00

Re: Наконец - то я решилась!

Сообщение Alima »

Мирослава, поздравляю! Ножки просто лепота, загляденье!!! Держитесь мужчины))) Молодец, очень рада за прекрасный результат. 79299472
Аватара пользователя
Miraslava
Сообщения: 8
Зарегистрирован: 25 сен 2013, 22:24
Хирург: Н.Н. Онипко
Диагноз: О-образная деформация ног
Какую операцию Вы планируете сделать.: исправить ножки
Дата операции.: 25.09.2013
Откуда: Павлодар

Re: Наконец - то я решилась!

Сообщение Miraslava »

Спасибо, Алимуша! Тебе тоже осталось чуть-чуть и будут такие же.
Аватара пользователя
Miraslava
Сообщения: 8
Зарегистрирован: 25 сен 2013, 22:24
Хирург: Н.Н. Онипко
Диагноз: О-образная деформация ног
Какую операцию Вы планируете сделать.: исправить ножки
Дата операции.: 25.09.2013
Откуда: Павлодар

Re: Наконец - то я решилась!

Сообщение Miraslava »

Simona писал(а):Вот еще на одну ровноножку стало больше. Поздравляю. Будь счастлива. animashka95 2ae0794.gif
Симона, большое спасибо! solnce animashka179
Аватара пользователя
Sekretar Onipko
Сообщения: 4551
Зарегистрирован: 16 авг 2011, 22:12

Re: Наконец - то я решилась!

Сообщение Sekretar Onipko »

2,5 недели с момента снятия аппаратов!
Вложения
SAM_7494.JPG
SAM_7505.JPG
SAM_7506.JPG
Alima
Сообщения: 128
Зарегистрирован: 05 сен 2013, 11:00

Re: Наконец - то я решилась!

Сообщение Alima »

Мирослава, привет! Ни фига себе стройняжка, и обувь подобрала! Ножки просто супер! Так держать и с позитивом только вперед! И теперь можно у двери шефа задержаться, пусть слюной давиться !!! Класс!!!
Аватара пользователя
Miraslava
Сообщения: 8
Зарегистрирован: 25 сен 2013, 22:24
Хирург: Н.Н. Онипко
Диагноз: О-образная деформация ног
Какую операцию Вы планируете сделать.: исправить ножки
Дата операции.: 25.09.2013
Откуда: Павлодар

Re: Наконец - то я решилась!

Сообщение Miraslava »

Cпасибо, дорогая! У тебя тоже хорошенькие, hello
Аватара пользователя
Sekretar Onipko
Сообщения: 4551
Зарегистрирован: 16 авг 2011, 22:12

Re: Наконец - то я решилась!

Сообщение Sekretar Onipko »

Рентген в 2 месяца после снятия аппаратов.
Разрешено всё без ограничений!
Вложения
SAM_7894.JPG
SAM_7895.JPG
Ответить