Вперёд за мечтой!

В этом разделе каждый желающий может разместить свой рассказ об операции по исправлению "О-образной" кривизны ног. Здесь вы можете вести свой дневник, или разместить рассказ целиком. Приветствуется подробность изложения и размещение фото и видео материала.
Аватара пользователя
Rozochka
Сообщения: 4
Зарегистрирован: 17 сен 2013, 20:55
Хирург: Н.Н. Онипко
Диагноз: О-образная деформация ног
Какую операцию Вы планируете сделать.: исправить ножки
Дата операции.: 17.09.2013
Откуда: Алматы

Вперёд за мечтой!

Сообщение Rozochka »

Дата операции 17.09.2013г.
37 лет.
3-е детей.
Исходник.
Вложения
SAM_6707.JPG
Alima
Сообщения: 128
Зарегистрирован: 05 сен 2013, 11:00

Re: Вперёд за мечтой!

Сообщение Alima »

Ждем тебя Розочка на форуме! Поправляйся! bf2a9c5.gif
Аватара пользователя
Rozochka
Сообщения: 4
Зарегистрирован: 17 сен 2013, 20:55
Хирург: Н.Н. Онипко
Диагноз: О-образная деформация ног
Какую операцию Вы планируете сделать.: исправить ножки
Дата операции.: 17.09.2013
Откуда: Алматы

Re: Вперёд за мечтой!

Сообщение Rozochka »

e35cd4a63.gifp
Alima
Сообщения: 128
Зарегистрирован: 05 сен 2013, 11:00

привет!

Сообщение Alima »

Розочка, привет! Как ты себя чувствуешь? Как все прошло? Напиши свои ощущения, нам, кто хочет также попасть в Ваши ряды - смельчиков!
Аватара пользователя
Sekretar Onipko
Сообщения: 4551
Зарегистрирован: 16 авг 2011, 22:12

Re: Вперёд за мечтой!

Сообщение Sekretar Onipko »

Перед крутками.
Деформация левой ноги больше на 10 градусов.
Вложения
SAM_6739.JPG
Аватара пользователя
Sekretar Onipko
Сообщения: 4551
Зарегистрирован: 16 авг 2011, 22:12

Re: Вперёд за мечтой!

Сообщение Sekretar Onipko »

Ножки на сегодня!
Вложения
SAM_6864.JPG
Аватара пользователя
Rozochka
Сообщения: 4
Зарегистрирован: 17 сен 2013, 20:55
Хирург: Н.Н. Онипко
Диагноз: О-образная деформация ног
Какую операцию Вы планируете сделать.: исправить ножки
Дата операции.: 17.09.2013
Откуда: Алматы

Re: Вперёд за мечтой!

Сообщение Rozochka »

Всем привет. Поздравляю с Курбан актом. e35cd4a63.gif
Аватара пользователя
Sekretar Onipko
Сообщения: 4551
Зарегистрирован: 16 авг 2011, 22:12

Re: Вперёд за мечтой!

Сообщение Sekretar Onipko »

78 дней с момента операции.
НОЖКИ НА СЕГОДНЯ!
Вложения
1.jpg
Аватара пользователя
Sekretar Onipko
Сообщения: 4551
Зарегистрирован: 16 авг 2011, 22:12

Re: Вперёд за мечтой!

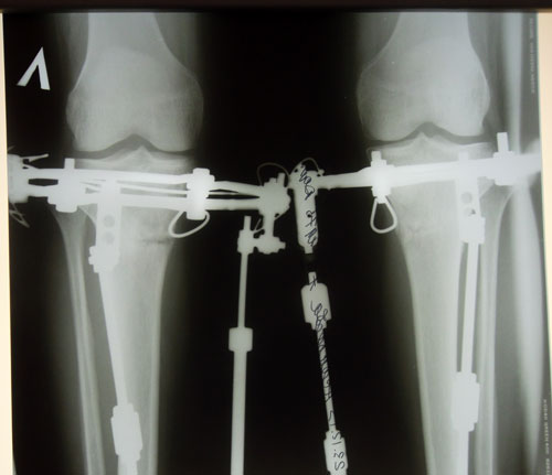
Сообщение Sekretar Onipko »

Рентген в 2,5 месяца с момента операции.
Вложения
SAM_7267.JPG
SAM_7266.JPG
Аватара пользователя
Rozochka
Сообщения: 4
Зарегистрирован: 17 сен 2013, 20:55
Хирург: Н.Н. Онипко
Диагноз: О-образная деформация ног
Какую операцию Вы планируете сделать.: исправить ножки
Дата операции.: 17.09.2013
Откуда: Алматы

Re: Вперёд за мечтой!

Сообщение Rozochka »

Привет Всем! Пишу для всех кто думает или только собирается осуществить свою мечту. Миленькие кривоножки торопитесь стать счастливыми обладательницами красивых ножек.Николай Николаевич врач-волшебник даст билет в новую красивую жизнь.Он единственный мужчина,который один раз и навсегда откроет для Вас двери в светлое будущее.Придаст самоуверенности,подчеркнет красоту и индивидуальность.Приблизится на один шаг к мечте поможет внимательная Наталья и мед.персонал клиники.Ласковая Марина до минимума сведет остатки страха и нежно поможет пережить после ОП. Пусть Ваши мечты сбываются! ВПЕРЕД ЗА МЕЧТОЙ!!! 094f316296.gif
Лейла
Сообщения: 25
Зарегистрирован: 02 ноя 2013, 13:57

Re: Вперёд за мечтой!

Сообщение Лейла »

Розочка, привет!!!!!!!! Ножки супер, ооочень красивые bf2a9c5.gif
freya
Сообщения: 96
Зарегистрирован: 05 окт 2013, 17:48

Re: Вперёд за мечтой!

Сообщение freya »

поздравляю ножки получаются загляденье, стала замечать что ноги которые "делал" Н.Н. намного привлекательнее чем у тех кто имел от природы ровные ноги
Аватара пользователя
Fialka
Сообщения: 70
Зарегистрирован: 29 авг 2013, 21:30
Хирург: Н.Н. Онипко
Диагноз: О-образная деформация ног
Какую операцию Вы планируете сделать.: исправить ножки
Дата операции.: 29.08.2013
Откуда: Алматы

Re: Вперёд за мечтой!

Сообщение Fialka »

Привет Розочка! Наконец вы вышли на связь 21700000 Очень рада за вас, что всё хорошо! Ножки классные получаються! И снятие не за горами, было бы хорошо до ногово года)) хотья идея оформить аппараты мишурами и встречать новый год как вы говорите, тоже не плохо)) Удачи вам дорогая и всего хорошего! 0c03cbd.gif
Аватара пользователя
Sekretar Onipko
Сообщения: 4551
Зарегистрирован: 16 авг 2011, 22:12

Re: Вперёд за мечтой!

Сообщение Sekretar Onipko »

РЕНТГЕН ПЕРЕД СНЯТИЕМ АППАРАТОВ.
Вложения
SAM_7349.JPG
SAM_7348.JPG
Ответить