Исходник - 38 лет. Алматы.
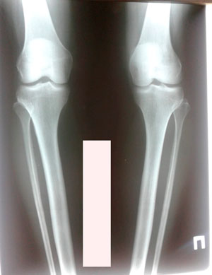
Дата операции - 15.06.2019г.
Вальс
- Sekretar Onipko
- Сообщения: 4551
- Зарегистрирован: 16 авг 2011, 22:12
- Sekretar Onipko
- Сообщения: 4551
- Зарегистрирован: 16 авг 2011, 22:12
- Sekretar Onipko
- Сообщения: 4551
- Зарегистрирован: 16 авг 2011, 22:12
Re: Вальс
Дата операции - 15.06.2019г.
Дата снятия аппаратов - 25.09.2019г.
Срок сращения - 100 дней.

Дата снятия аппаратов - 25.09.2019г.
Срок сращения - 100 дней.

- Sekretar Onipko
- Сообщения: 4551
- Зарегистрирован: 16 авг 2011, 22:12
- Sekretar Onipko
- Сообщения: 4551
- Зарегистрирован: 16 авг 2011, 22:12
- Sekretar Onipko
- Сообщения: 4551
- Зарегистрирован: 16 авг 2011, 22:12