Исходник - 15 лет. Павлодар.
Дата операции - 15.06.2019г.
Танго
- Sekretar Onipko
- Сообщения: 4551
- Зарегистрирован: 16 авг 2011, 22:12
- Sekretar Onipko
- Сообщения: 4551
- Зарегистрирован: 16 авг 2011, 22:12
- Sekretar Onipko
- Сообщения: 4551
- Зарегистрирован: 16 авг 2011, 22:12
- Sekretar Onipko
- Сообщения: 4551
- Зарегистрирован: 16 авг 2011, 22:12
Re: Танго
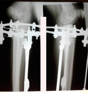
Дата операции - 15.06.2019г.
Дата снятия аппаратов - 20.08.2019.
Срок сращения - 65 дней.

Дата снятия аппаратов - 20.08.2019.
Срок сращения - 65 дней.

- Sekretar Onipko
- Сообщения: 4551
- Зарегистрирован: 16 авг 2011, 22:12
- Sekretar Onipko
- Сообщения: 4551
- Зарегистрирован: 16 авг 2011, 22:12