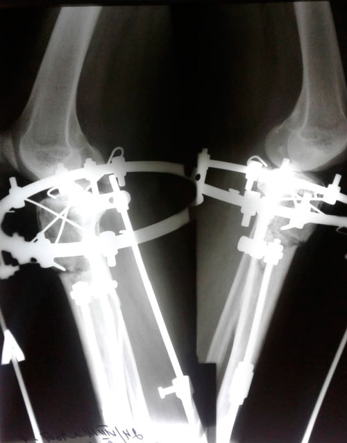
Исходник - 46 лет.
Дата операции 22.06.2018г.
Алые паруса
- Sekretar Onipko
- Сообщения: 4551
- Зарегистрирован: 16 авг 2011, 22:12
- Sekretar Onipko
- Сообщения: 4551
- Зарегистрирован: 16 авг 2011, 22:12
- Sekretar Onipko
- Сообщения: 4551
- Зарегистрирован: 16 авг 2011, 22:12
- Sekretar Onipko
- Сообщения: 4551
- Зарегистрирован: 16 авг 2011, 22:12
- Sekretar Onipko
- Сообщения: 4551
- Зарегистрирован: 16 авг 2011, 22:12
Re: Алые паруса
Дата операции 22.06.2018г.
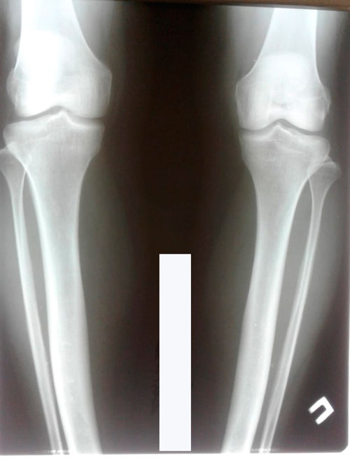
Дата снятия - 02.11.2018г.
Срок сращения - 98 дней.

Дата снятия - 02.11.2018г.
Срок сращения - 98 дней.
