Исходник 28 лет Актобе.
Дата операции 14.02.2018г.
Хочу счастья!!!!!
- Sekretar Onipko
- Сообщения: 4551
- Зарегистрирован: 16 авг 2011, 22:12
- Sekretar Onipko
- Сообщения: 4551
- Зарегистрирован: 16 авг 2011, 22:12
- Sekretar Onipko
- Сообщения: 4551
- Зарегистрирован: 16 авг 2011, 22:12
Re: Хочу счастья!!!!!
Здравствуйте ,отличного сращения ваМ, симпатичные ножки получаются.
!я тоже с города Актобе собираюсь на операцию в мае месяца,если не против можно с вами поговорить по поводу операции ..напишите мне ..87076269686
- Sekretar Onipko
- Сообщения: 4551
- Зарегистрирован: 16 авг 2011, 22:12
- Sekretar Onipko
- Сообщения: 4551
- Зарегистрирован: 16 авг 2011, 22:12
- Sekretar Onipko
- Сообщения: 4551
- Зарегистрирован: 16 авг 2011, 22:12
Re: Хочу счастья!!!!!
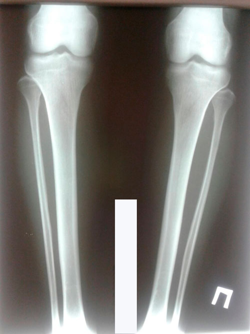
Дата операции 14.02.2018г.
Дата снятия аппаратов 12.06.2018г.
Срок лечения 120 дней.

!!Информация для пациентов!!
Данная пациентка сняла аппараты (без разрешения Клиники) у себя в городе.
По условиям договора: Пациент обязан снимать аппараты в Клинике! В противном случае, Клиника не несёт ответственность за последствия и результат.
Прошу, относиться серьёзней к таким вещам.
Дата снятия аппаратов 12.06.2018г.
Срок лечения 120 дней.

!!Информация для пациентов!!
Данная пациентка сняла аппараты (без разрешения Клиники) у себя в городе.
По условиям договора: Пациент обязан снимать аппараты в Клинике! В противном случае, Клиника не несёт ответственность за последствия и результат.
Прошу, относиться серьёзней к таким вещам.