Исходник - 60 лет.
Дата операции 23.05.2017г.
Подружки
- Sekretar Onipko
- Сообщения: 4551
- Зарегистрирован: 16 авг 2011, 22:12
- Sekretar Onipko
- Сообщения: 4551
- Зарегистрирован: 16 авг 2011, 22:12
- valdemar
- Администратор
- Сообщения: 115
- Зарегистрирован: 08 авг 2011, 16:09
- Хирург: я сам хирург
- Диагноз: администратор
- Какую операцию Вы планируете сделать.: подлечить форум
- Срок лечения.: бесконечен
- Оценка результата операции.: судите сами
- Откуда: Казахстан г. Павлодар
В процессе круток
В процессе круток
- Sekretar Onipko
- Сообщения: 4551
- Зарегистрирован: 16 авг 2011, 22:12
- Sekretar Onipko
- Сообщения: 4551
- Зарегистрирован: 16 авг 2011, 22:12
Re: Подружки
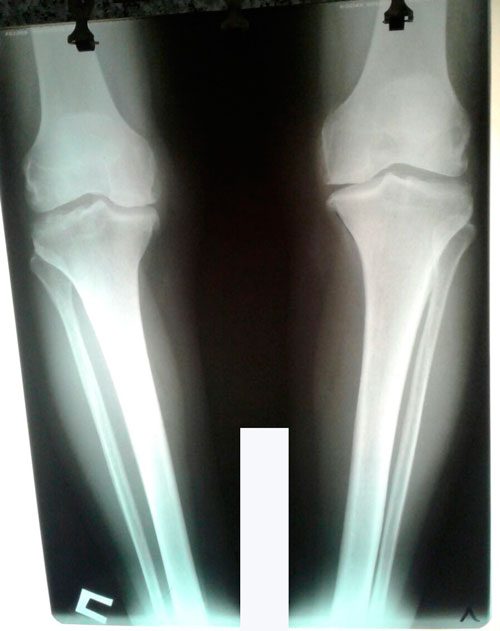
Рентген и ото ножек в 60 дней.
Срастаетесь, как молодые девчонки
Спасибо за дисциплинированность! Всегда высылаете всё во время.
Срастаетесь, как молодые девчонки
Спасибо за дисциплинированность! Всегда высылаете всё во время.
- Sekretar Onipko
- Сообщения: 4551
- Зарегистрирован: 16 авг 2011, 22:12
- Sekretar Onipko
- Сообщения: 4551
- Зарегистрирован: 16 авг 2011, 22:12
Re: Подружки
Дата операции 23.05.2017г.
Дата снятия аппаратов 16.10.2017г.
Срок лечения 142 дня.

Дата снятия аппаратов 16.10.2017г.
Срок лечения 142 дня.
