Сан Марино

В этом разделе каждый желающий может разместить свой рассказ об операции по исправлению "О-образной" кривизны ног. Здесь вы можете вести свой дневник, или разместить рассказ целиком. Приветствуется подробность изложения и размещение фото и видео материала.
Ответить
Аватара пользователя
Sekretar Onipko
Сообщения: 4551
Зарегистрирован: 16 авг 2011, 22:12

Сан Марино

Сообщение Sekretar Onipko »

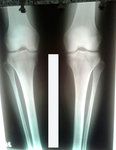
Исходник - 42 года.
Дата операции - 18.01.2017г.
Вложения
IMG-20170117-WA0029.jpg
РЕНТГЕН ДО ОПЕРАЦИИ
РЕНТГЕН ДО ОПЕРАЦИИ
Аватара пользователя
Sekretar Onipko
Сообщения: 4551
Зарегистрирован: 16 авг 2011, 22:12

Re: Сан Марино

Сообщение Sekretar Onipko »

Ножки до круток!
Бегает шустро!!! bully
Вложения
IMG_2106-22-01-17-05-26.jpg
ast86
Сообщения: 30
Зарегистрирован: 14 янв 2017, 16:21
Хирург: Онипко
Оценка результата операции.: супер
Откуда: Астана

Re: Сан Марино

Сообщение ast86 »

моя соседка по палате)вы просто умничка)))столько сил в ней,смелая,терпеливая.уже бегает во всю
loginza613
Сообщения: 17
Зарегистрирован: 21 окт 2016, 19:40
Контактная информация:

Re: Сан Марино

Сообщение loginza613 »

Да, она просто молодец!
Аватара пользователя
Sekretar Onipko
Сообщения: 4551
Зарегистрирован: 16 авг 2011, 22:12

Re: Сан Марино

Сообщение Sekretar Onipko »

Ножки на сегодня.
Вложения
IMG-20170126-WA0032.jpg
Аватара пользователя
Sekretar Onipko
Сообщения: 4551
Зарегистрирован: 16 авг 2011, 22:12

Re: Сан Марино

Сообщение Sekretar Onipko »

Ножки на сегодня. Ждём рентген!
IMG-20170207-WA0049.jpg
fotograf
Аватара пользователя
Sekretar Onipko
Сообщения: 4551
Зарегистрирован: 16 авг 2011, 22:12

Re: Сан Марино

Сообщение Sekretar Onipko »

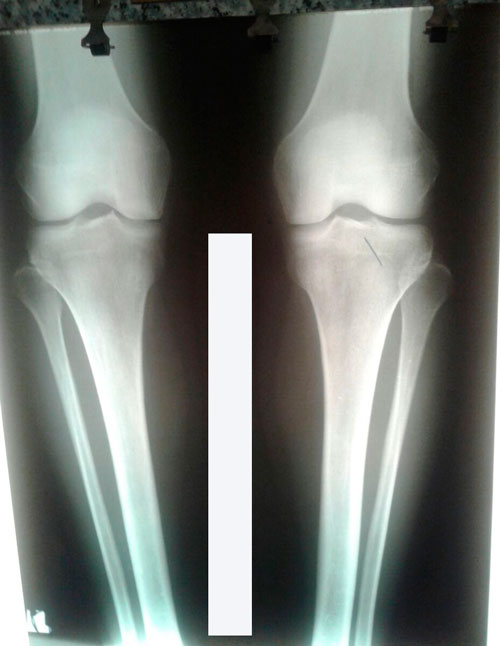
Рентген на фиксации.
IMG_2156-13-02-17-08-48.jpg
IMG_2155-13-02-17-08-48.jpg
Аватара пользователя
valdemar
Администратор
Сообщения: 115
Зарегистрирован: 08 авг 2011, 16:09
Хирург: я сам хирург
Диагноз: администратор
Какую операцию Вы планируете сделать.: подлечить форум
Срок лечения.: бесконечен
Оценка результата операции.: судите сами
Откуда: Казахстан г. Павлодар

Ножки на сращении

Сообщение valdemar »

ножки на сращении
nogi-01.jpg
nogi.jpg
erkien85
Сообщения: 20
Зарегистрирован: 20 фев 2017, 21:48

Re: Сан Марино

Сообщение erkien85 »

Как красиво.Скорейшего сращени.
Аватара пользователя
Sekretar Onipko
Сообщения: 4551
Зарегистрирован: 16 авг 2011, 22:12

Re: Сан Марино

Сообщение Sekretar Onipko »

Дата операции - 18.01.2017г.
Дата снятия аппаратов 04.04.2017г.
Срок лечения - 75 дней.

pozdravlyau
Вложения
IMG-20170117-WA0047.jpg
IMG-20170117-WA0032.jpg
Аватара пользователя
Sekretar Onipko
Сообщения: 4551
Зарегистрирован: 16 авг 2011, 22:12

Re: Сан Марино

Сообщение Sekretar Onipko »

Дата операции - 18.01.2017г.
Дата снятия аппаратов 04.04.2017г.
Срок лечения - 75 дней.

780555c4
Вложения
IMG-20170117-WA0030.jpg
IMG-20170117-WA0046.jpg
Ответить