♥Солнечный день♥

В этом разделе каждый желающий может разместить свой рассказ об операции по исправлению "О-образной" кривизны ног. Здесь вы можете вести свой дневник, или разместить рассказ целиком. Приветствуется подробность изложения и размещение фото и видео материала.
Ответить
Аватара пользователя
Sekretar Onipko
Сообщения: 4551
Зарегистрирован: 16 авг 2011, 22:12

♥Солнечный день♥

Сообщение Sekretar Onipko »

Исходник - 13 лет.
Дата операции 02.06.2016г.
У пациентки двухсторонняя ротация.
Вложения
1464775684168_4.jpg
1464775684168_7.jpg
1464775684168_5.jpg
Аватара пользователя
Sekretar Onipko
Сообщения: 4551
Зарегистрирован: 16 авг 2011, 22:12

Re: ♥Солнечный день♥

Сообщение Sekretar Onipko »

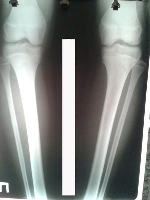
Рентген до операции.
Вложения
20160709_130337.jpg
Аватара пользователя
Sekretar Onipko
Сообщения: 4551
Зарегистрирован: 16 авг 2011, 22:12

Re: ♥Солнечный день♥

Сообщение Sekretar Onipko »

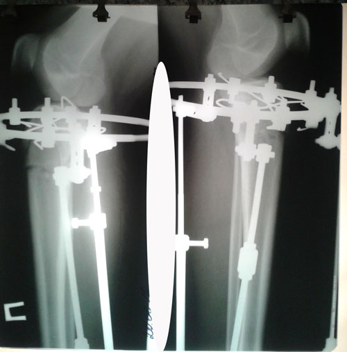
Рентген на фиксации.
Вложения
20160709_124650.jpg
20160709_124636.jpg
Аватара пользователя
Sekretar Onipko
Сообщения: 4551
Зарегистрирован: 16 авг 2011, 22:12

Re: ♥Солнечный день♥

Сообщение Sekretar Onipko »

Ножки на сегодня.
Вложения
20160709_133857-(2).jpg
20160709_133740.jpg
Аватара пользователя
Sekretar Onipko
Сообщения: 4551
Зарегистрирован: 16 авг 2011, 22:12

Re: ♥Солнечный день♥

Сообщение Sekretar Onipko »

Ножки на сегодня.
Вложения
20160709_133926-(2).jpg
20160709_133822.jpg
Аватара пользователя
Sekretar Onipko
Сообщения: 4551
Зарегистрирован: 16 авг 2011, 22:12

Re: ♥Солнечный день♥

Сообщение Sekretar Onipko »

Дата операции 02.06.2016г.
Дата снятия аппаратов 27.07.2016г.
Срок лечения 55 дней.

45000000
Вложения
1464775684168_7.jpg
Ответить