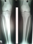
Дата операции 06.05.2016г.
Исходник - 27 лет.
У пациентки двусторонняя ротация
♥♥ BONITA ♥♥
- Sekretar Onipko
- Сообщения: 4551
- Зарегистрирован: 16 авг 2011, 22:12
- Sekretar Onipko
- Сообщения: 4551
- Зарегистрирован: 16 авг 2011, 22:12
Re: ♥♥ BONITA ♥♥
Основные крутки закончены. Натаптываем ножки, чтобы решить вопрос с ротацией.
- Sekretar Onipko
- Сообщения: 4551
- Зарегистрирован: 16 авг 2011, 22:12
Re: ♥♥ BONITA ♥♥
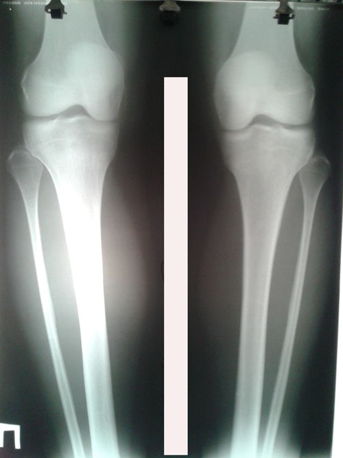
Дата операции 06.05.2016г.
Дата снятия аппаратов 13.08.2016г.
Срок лечения 97 дней.
Обратите внимание, как мастерски исправлена ротация!
Дата снятия аппаратов 13.08.2016г.
Срок лечения 97 дней.
Обратите внимание, как мастерски исправлена ротация!