В Павлодар за ножками!
- Sekretar Onipko
- Сообщения: 4551
- Зарегистрирован: 16 авг 2011, 22:12
- Sekretar Onipko
- Сообщения: 4551
- Зарегистрирован: 16 авг 2011, 22:12
- Sekretar Onipko
- Сообщения: 4551
- Зарегистрирован: 16 авг 2011, 22:12
- Sekretar Onipko
- Сообщения: 4551
- Зарегистрирован: 16 авг 2011, 22:12
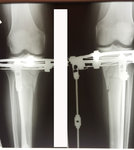
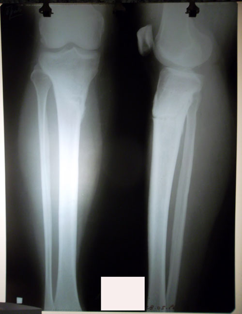
Re: В Павлодар за ножками!
рентген в 20 дней с момента операции.
Сращение идёт отличное, как у 16 летней девочки!
Сращение идёт отличное, как у 16 летней девочки!
- Sekretar Onipko
- Сообщения: 4551
- Зарегистрирован: 16 авг 2011, 22:12
- Sekretar Onipko
- Сообщения: 4551
- Зарегистрирован: 16 авг 2011, 22:12
- Sekretar Onipko
- Сообщения: 4551
- Зарегистрирован: 16 авг 2011, 22:12
- Sekretar Onipko
- Сообщения: 4551
- Зарегистрирован: 16 авг 2011, 22:12
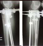
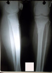
Re: В Павлодар за ножками!
рентген в 55 дней с момента операции.
Сращение идёт отлично, снятие аппаратов планируется через 3 недели.
Сращение идёт отлично, снятие аппаратов планируется через 3 недели.
- Sekretar Onipko
- Сообщения: 4551
- Зарегистрирован: 16 авг 2011, 22:12
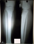
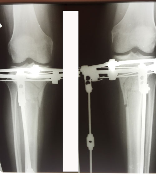
Re: В Павлодар за ножками!
Дата операции 17.11.2015г.
Дата снятия аппаратов 10.02.2016г.
Срок лечения 85 дней.

Дата снятия аппаратов 10.02.2016г.
Срок лечения 85 дней.

- Sekretar Onipko
- Сообщения: 4551
- Зарегистрирован: 16 авг 2011, 22:12
Re: В Павлодар за ножками!
Дата операции 17.11.2015г.
Дата снятия аппаратов 10.02.2016г.
Срок лечения 85 дней.

Дата снятия аппаратов 10.02.2016г.
Срок лечения 85 дней.
- Sekretar Onipko
- Сообщения: 4551
- Зарегистрирован: 16 авг 2011, 22:12
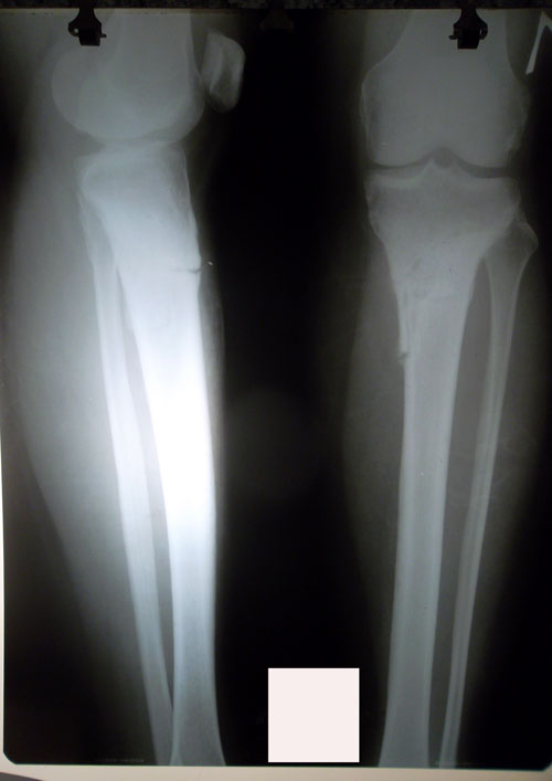
Re: В Павлодар за ножками!
Рентген контроль в 1,5 месяца после снятия аппаратов.
сращение отличное, разрешены постепенно возрастающие нагрузки и каблуки.
сращение отличное, разрешены постепенно возрастающие нагрузки и каблуки.