Паттайя ♥♥♥

В этом разделе каждый желающий может разместить свой рассказ об операции по исправлению "О-образной" кривизны ног. Здесь вы можете вести свой дневник, или разместить рассказ целиком. Приветствуется подробность изложения и размещение фото и видео материала.
Ответить
Аватара пользователя
Sekretar Onipko
Сообщения: 4551
Зарегистрирован: 16 авг 2011, 22:12

Паттайя ♥♥♥

Сообщение Sekretar Onipko »

Исходник - 36 лет.
Дата операции 22.03.2016г.
Вложения
SAM_0390.JPG
SAM_0391.JPG
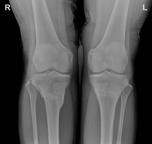
РЕНТГЕН ДО ОПЕРАЦИИ
РЕНТГЕН ДО ОПЕРАЦИИ
Pattaya
Сообщения: 5
Зарегистрирован: 29 мар 2016, 13:26
Хирург: Онипко Н.Н.
Диагноз: О-образная деформация ног
Какую операцию Вы планируете сделать.: исправление кривизны ног
Дата операции.: 22.03.2016

Re: Паттайя ♥♥♥

Сообщение Pattaya »

Привет всем!
Мне 36 лет. Живу в Алматы, замужем, есть ребенок. Казалось бы все хорошо, да вот только с ногами не очень повезло. Я большой любитель ходить пешком. Для меня это одновременно и отдых и физическая нагрузка. Только, в последнее время стала замечать боли в области колен, когда преодолевала сравнительно небольшие расстояния. Были подозрения, что это возможно первоначальная стадия артроза. К тому же, меня расстраивало некрасивые форма ног (О-образная), которую приходилось прятать под брюками. Выбрать "правильную" одежду для меня всегда было не из самых приятных моментов. И вот я решила закрыть данную проблему кардинально. Прочитала много тем, предложений и отзывов по профилактике артроза и исправлению кривизны ног. Была на консультации у нескольких врачей. Но в глубине души все равно оставались сомнения... Продолжила поиски. В один прекрасный день вышла на сайт клиники Онипко. Изучила всю информацию на сайте, а также многолетний опыт доктора Онипко. Окончательное решение приняла сразу и бесповоротно. И только в пользу нашего многоуважаемого доктора Николая Николаевича Онипко! Предварительно созвонившись с секретарем Онипко, утром 21 марта приехала в клинику, сдала все необходимые анализы, сделали рентген снимок. Операция была назначена на следующий день. Я была готова и морально и физический. Операция прошла удачно. В первый день отходила от наркоза. Смогла встать на второй день после ОП утром. Спустила ноги, даже получилось по палате передвигаться.
С первого дня Мариша нас окружила теплотой и заботой. Медсестры Оля, Оксана, Вероника очень внимательные, компетентные. И кормят здесь очень вкусно, разнообразно и по-домашнему. В палатах и коридоре очень чисто и уютно. Все четко организованно и слаженно обдумано вплоть до мелочей.
Выражаю большую благодарность доктору Н.Н. Онипко, очаровательной Наталье, всем медсестрам, медперсоналу и поварам. Большое спасибо Вам за Ваш труд и терпение.
Так незаметно прошли 7 дней после ОП. Сегодня были первые крутки. Никаких болей не чувствую. Настроение отличное.
Всем кривоножкам, кто еще думает и сомневается, не упустите свой шанс. Решайтесь. Все в Ваших руках!
Аватара пользователя
Sekretar Onipko
Сообщения: 4551
Зарегистрирован: 16 авг 2011, 22:12

Re: Паттайя ♥♥♥

Сообщение Sekretar Onipko »

Перед крутками.
Вложения
SAM_0417.JPG
SAM_0418.JPG
Pattaya
Сообщения: 5
Зарегистрирован: 29 мар 2016, 13:26
Хирург: Онипко Н.Н.
Диагноз: О-образная деформация ног
Какую операцию Вы планируете сделать.: исправление кривизны ног
Дата операции.: 22.03.2016

Re: Паттайя ♥♥♥

Сообщение Pattaya »

Сегодня 7-ой день круток. Чувствую себя замечательно. Вид ножек радует с каждым днем все больше и больше. Несколько раз спускалась на 1-ый этаж. Даже получилось без костылей и ходунков по узкому коридору прогуляться до рентген кабинета. Стараюсь увеличивать нагрузку постепенно.
Всем, кто имеет проблемы с ногами советую клинику доктора Онипко! Выражаю огромную благодарность доктору Николай Николаевичу! Это человек с золотыми руками и добрым сердцем! К сожалению, сейчас таких врачей осталось единицы.
Всем желаю удачного и плодотворного дня!!!
Аватара пользователя
Sekretar Onipko
Сообщения: 4551
Зарегистрирован: 16 авг 2011, 22:12

Re: Паттайя ♥♥♥

Сообщение Sekretar Onipko »

Приступаем к исправлению ротации справа.
Вложения
SAM_0445.JPG
SAM_0444.JPG
SAM_0443.JPG
Аватара пользователя
Sekretar Onipko
Сообщения: 4551
Зарегистрирован: 16 авг 2011, 22:12

Re: Паттайя ♥♥♥

Сообщение Sekretar Onipko »

рентген в процессе исправления деформации.
Вложения
SAM_0479.JPG
SAM_0478.JPG
Аватара пользователя
Sekretar Onipko
Сообщения: 4551
Зарегистрирован: 16 авг 2011, 22:12

Re: Паттайя ♥♥♥

Сообщение Sekretar Onipko »

после исправления деформации и ротации.
На фиксации.
Вложения
SAM_0507.JPG
SAM_0506.JPG
Pattaya
Сообщения: 5
Зарегистрирован: 29 мар 2016, 13:26
Хирург: Онипко Н.Н.
Диагноз: О-образная деформация ног
Какую операцию Вы планируете сделать.: исправление кривизны ног
Дата операции.: 22.03.2016

На сращении

Сообщение Pattaya »

Приветствую всех, кто в данное время интересуется и читает мой дневник!
Сегодня 31-ый день после ОП. Боли практический нигде не чувствую. Только изредка по утрам ноги тяжелые, после нескольких шагов все нормально. Каждый день стараюсь по несколько раз спускаться на первый этаж. Там хожу слегка опираясь на стены до стоматологии и обратно. После этих походов у меня всегда отличная разрядка на весь день и это хороший способ снять напряжение.
Сегодня в первый раз после операции вышла на улицу. А там солнышко, тепло! Весна отрывается по полной:) Настроение супер! Долой все негативные мысли, которые порой все таки время от времени появляются от #ничего#не#делания#и#все#время#рассматривания#
себя#перед#зеркалом#...:)) Хотя наверное, это чувство знакомо для многих из нас.
В этом городе я в первый раз. Но полюбила его всем сердцем. Сам город красивый, чистый. Люди очень отзывчивые, внимательные и добрые! bf8921ae
Как буду уже уверенно ходить без костылей, планирую гулять, дальше познавать этот замечательный город. Благо остаюсь я здесь на весь период сращения.
Аватара пользователя
Sekretar Onipko
Сообщения: 4551
Зарегистрирован: 16 авг 2011, 22:12

Re: Паттайя ♥♥♥

Сообщение Sekretar Onipko »

Рентген в 60 дней.
Вложения
1463844574109_0.jpg
1463844574109_1.jpg
Аватара пользователя
Sekretar Onipko
Сообщения: 4551
Зарегистрирован: 16 авг 2011, 22:12

Re: Паттайя ♥♥♥

Сообщение Sekretar Onipko »

Рентген в 90 дней перед снятием аппаратов!
Вложения
image.jpeg
image.jpeg
Pattaya
Сообщения: 5
Зарегистрирован: 29 мар 2016, 13:26
Хирург: Онипко Н.Н.
Диагноз: О-образная деформация ног
Какую операцию Вы планируете сделать.: исправление кривизны ног
Дата операции.: 22.03.2016

Re: Паттайя ♥♥♥ Снятие аппарата

Сообщение Pattaya »

Вот и настал тот долгожданный и трепетный момент. Сделала рентген в 90 дней. Осмотрев снимок Николай Николаевич, сказал, что уже можно снимать аппараты. В тот день он ослабил болтики, а сняли аппараты на следующий. Перед снятием аппаратов не принимала никаких обезболивающих средств. Я была готова на худшее. Но это действительно было не так страшно. Скорее больше страха в ожидании боли. Да и что скрывать, мой болевой порог высокий. Не знаю это плюс или минус... Происходило это следующим образом: сначала раскрутили болтики, дальше было обкусывание спиц и в конце их вытаскивание. Последние два этапа смотреть я не стала. Было немножко неприятно. Вся процедура заняла максимум 5-8 минут. Так что, по моему мнению, это короткая и вполне терпимая боль. Думаю, что столько перенесли после операции (заново учиться делать свои первые шаги, ходить, крутки, ротация и т.д.), то можно с достоинством, стиснув зубы, потерпеть завершающий этап на пути к красивым ножкам .
Вот и финиш. Ножки получились красивыми, стройными. Коленки в первый раз в жизни соединяются легко, чего до операции не было, даже если напрягалась, чтобы соединить их. Через определенное время ножки придут в тонус, потом нужно будет накачать икры.
Хочу выразить искреннюю благодарность ортопед-травматологу, хирургу, мануальному терапевту и просто своему доктору Николай Николаевичу Онипко за высокий профессионализм, чуткость, хорошую ауру, уверенность, стремлении помочь пациентам. Он замечательный человек, добрый, отзывчивый!
Качество работы Николай Николаевича заслуживает высокую оценку!
Огромное спасибо ортопед-травмотологу, кандидату медицинских наук и лечашему врачу Константин Николаевичу за его компетентность, поддержку, доброжелательность, всегда приветливое отношение что значит – человек всегда на позитиве! Великолепный специалист своего дела!
От чистого сердца хочу поблагодарить секретаря Онипко – Наталью за оперативную и грамотную организацию процесса до и после ОП, за все рекомендации, и главное - поддержку!
Отдельно благодарю главную медсестру Анну Викторовну за ее безграничный труд и внимание, за человечность и понимание! Благодарю всех без исключения медперсонал клиники за качественное и скрупулезное оказание помощи!
Когда еще есть такие профессионалы своего дела, за будущее кривоножек (которые примут решение выпрямить ноги в этой клинике) можно не беспокоится !
Огромное Вам спасибо! Терпения в Вашей нелегкой работе и доброжелательных пациентов!
Аватара пользователя
Sekretar Onipko
Сообщения: 4551
Зарегистрирован: 16 авг 2011, 22:12

Re: Паттайя ♥♥♥

Сообщение Sekretar Onipko »

Дата операции 22.03.2016г.
Дата снятия аппаратов 22.06.2016г.
Срок лечения 90 дней.

094f316296.gif
Вложения
SAM_0391.JPG
10.JPG
Аватара пользователя
Sekretar Onipko
Сообщения: 4551
Зарегистрирован: 16 авг 2011, 22:12

Re: Паттайя ♥♥♥

Сообщение Sekretar Onipko »

Дата операции 22.03.2016г.
Дата снятия аппаратов 22.06.2016г.
Срок лечения 90 дней.

a160bd3a1.gif
Вложения
00.JPG
SAM_0390.JPG
Аватара пользователя
Sekretar Onipko
Сообщения: 4551
Зарегистрирован: 16 авг 2011, 22:12

Re: Паттайя ♥♥♥

Сообщение Sekretar Onipko »

Рентген контроль в 1,5 месяца после снятия аппаратов.
Сращение отличное! Разрешено всё по нарастающий ( имея ввиду нагрузку). Каблуки разрешены, фитнес разрешён.

Классно! Отличная новость! Большое спасибо!!!
Прошу передать свое почтение и уважение Николай Николаевичу и всему персоналу клиники! Всего хорошего Вам!
Вложения
1.2.840.10008.5.1.4.1.1.1.20160812.127331.48273.1.3.jpg
1.2.840.10008.5.1.4.1.1.1.20160812.127331.48273.1.2.jpg
1.2.840.10008.5.1.4.1.1.1.20160812.127331.48273.1.1.jpg
Ответить