Осенний листопад.
- Sekretar Onipko
- Сообщения: 4551
- Зарегистрирован: 16 авг 2011, 22:12
Осенний листопад.
Исходник.
У пациентки плоскостопие 2-ой степени.
26 лет.
Дата операции 08.10.2015г.
У пациентки плоскостопие 2-ой степени.
26 лет.
Дата операции 08.10.2015г.
- Sekretar Onipko
- Сообщения: 4551
- Зарегистрирован: 16 авг 2011, 22:12
- Sekretar Onipko
- Сообщения: 4551
- Зарегистрирован: 16 авг 2011, 22:12
- Sekretar Onipko
- Сообщения: 4551
- Зарегистрирован: 16 авг 2011, 22:12
- Sekretar Onipko
- Сообщения: 4551
- Зарегистрирован: 16 авг 2011, 22:12
Re: Осенний листопад.
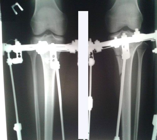
Поздравляю! Ура! Результат отличный!Sekretar Onipko писал(а):Рентген в 58 дней.
Сращение отличное, через неделю снимаем аппараты.
- Sekretar Onipko
- Сообщения: 4551
- Зарегистрирован: 16 авг 2011, 22:12
- Sekretar Onipko
- Сообщения: 4551
- Зарегистрирован: 16 авг 2011, 22:12
Re: Осенний листопад.
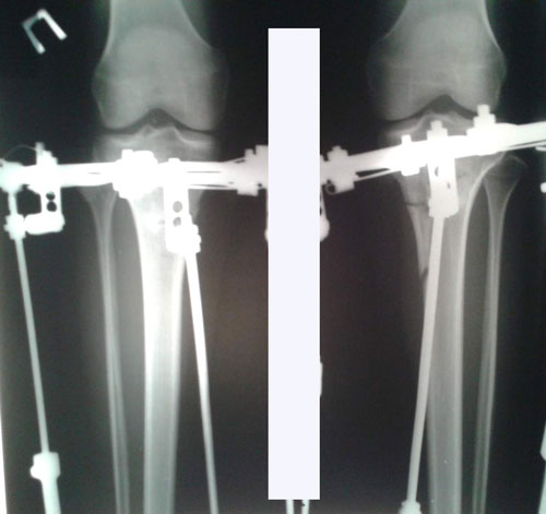
Дата операции 08.10.2015г.
Дата снятие аппаратов 11.12.2015г.
Срок лечения 62 дня.

Дата снятие аппаратов 11.12.2015г.
Срок лечения 62 дня.

- Sekretar Onipko
- Сообщения: 4551
- Зарегистрирован: 16 авг 2011, 22:12
Re: Осенний листопад.
Дата операции 08.10.2015г.
Дата снятие аппаратов 11.12.2015г.
Срок лечения 62 дня.

Дата снятие аппаратов 11.12.2015г.
Срок лечения 62 дня.
Re: Осенний листопад.
Поздравляю
Результат шикарный!!! Береги себя! 
- Sekretar Onipko
- Сообщения: 4551
- Зарегистрирован: 16 авг 2011, 22:12
Re: Осенний листопад.
1,5 МЕСЯЦА с момента снятия аппаратов.
Здравствуйте, А.! Сращение железное, ножки в норме. Вы можете ходить на любой вид спорта, фитнеса, каблуки и т.д. Исключить: беременность в первые 6 месяцев с момента снятия аппаратов.
Он Вас, фото на каблучках! не забывайте наш форум, оставляйте отзывы, свой рассказ (воспоминание об аппаратном периоде и т.д.).
Всего Вам доброго!