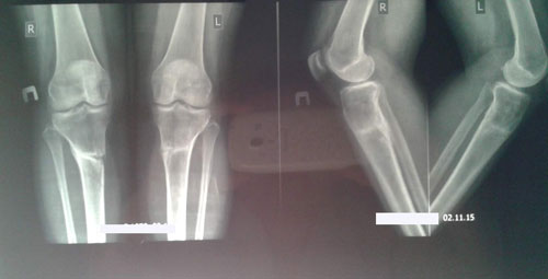
Здравствуйте, Светлана! рентген получили, сращение отличное. Вам всё разрешено без ограничений (спорт, каблуки и т.д.). Кроме: беременеть в течении первых 6 месяцев с момента снятия аппаратов.
По фото ножки супер!
Подружка Аннушки!
- Sekretar Onipko
- Сообщения: 4551
- Зарегистрирован: 16 авг 2011, 22:12
Re: Подружка Аннушки!
Рентген в 1,5 месяца с момента снятия аппаратов.
- Angelina
- Сообщения: 13
- Зарегистрирован: 19 янв 2014, 08:28
- Дата операции.: 07.05.2015
- Откуда: Караганда
Мечты сбываются!!!
Доброй ночи!!! Я очень рада новостям!! И очень счастлива!!! Спасибо Вам огромное за всё, что Вы дарите нам радость и уверенность в себе!!!
Одним словом: Мечты сбываются--главное верить и не отступать!!! 
